Autori
Carlo Coiana
Diplomate American Academy of Periodontology, già Professore a contratto Università di Cagliari
Corrispondenza: ccdental@tiscali.it
Abstract
Scopo: il case report si propone di illustrare la riabilitazione di un elemento singolo in area altamente estetica già ripetutamente trattato endodonticamente, in presenza di una patologia cronica severa periapicale coinvolgente anche un dente adiacente presentante seppure di minore estensione. La strategia terapeutica predisposta prevede la terapia endodontica dell’elemento 22, estrazione di 11 e inserimento di spugne di collagene nell’alveolo seguito da un impianto endosseo differito e riabilitazione finale.
Materiali e Metodi: all’esame radiologico CBCT si riscontra la presenza di una severa rarefazione periapicale di verosimile natura infiammatoria cronica a carico degli elementi 21 e 22 e già sottoposti a terapia endodontica convenzionale e restauro protesico sul 22. Il 21 viene giudicato endodonticamente non trattabile, quindi estratto e il sito alveolare riempito con spugne di collagene. A supporto del profilo gengivale viene applicato un ponte Maryland provvisorio adeguatamente modellato tale da fornire un sigillo periferico. Sei mesi dopo, a seguito di una CBCT di verifica, un impianto endosseo viene inserito mediante espansione della cresta alveolare a compensazione dell’inevitabile contrazione del sito. Ad avvenuta integrazione dell’impianto e maturazione dei tessuti molli perimplantari, viene realizzata e applicata una corona avvitata in zirconio ceramica.
Conclusioni: la contrazione della cresta alveolare a seguito di un’estrazione è un evento inevitabile che comporta un deficit estetico-funzionale spesso grave. Il caso descritto illustra il ripristino estetico e funzionale in area estetica attraverso un’attenta valutazione iniziale e una strategia terapeutica rispettosa dei meccanismi di guarigione e di un corretto restauro protesico.
Tissue profile maintenance around a delayed post-extraction implant: a realistic goal?
Purpose: the case report aims to illustrate the rehabilitation of a single element in a highly aesthetic area repeatedly and unsuccessfully treated endodontically resulting in a severe chronic periapical pathology. The adjacent tooth presented with the same finding although to minor extent. The planned therapeutic strategy involves endodontic therapy of the tooth 22, extraction of 21 and insertion of collagen sponges into the alveolus followed by a deferred endosseous implant and final rehabilitation.
Materials and Methods: a CBCT radiological examination shows the presence of a severe periapical rarefaction likely of a chronic inflammatory nature affecting teeth 21 and 22, already subjected to conventional endodontic therapy attempts and prosthetic restoration on 21. Tooth 21 is judged endodontically not treatable, then extracted, and the alveolar site is filled with collagen sponges. A temporary Maryland bridge, adequately shaped to provide a peripheral seal, is applied to support the gingival profile. Six months later, following a CBCT verification, an endosseous implant is inserted by expanding the alveolar ridge to compensate for the inevitable contraction of the site. After implant integration and peri-implant soft tissue healing, a screw-retained zirconium ceramic crown is delivered.
Conclusions: the contraction of the alveolar ridge following an extraction is an inevitable event that leads to an often serious aesthetic-functional deficit. The case described illustrates aesthetic and functional restoration in an aesthetic area through a careful initial evaluation and a therapeutic strategy based on the healing mechanisms and adequate prosthetic restoration.
Gestione chirurgico-protesica di un sito implantare post-estrattivo, con focus sulla gestione del profilo tissutale nell’impianto post-estrattivo mediante il restauro provvisorio, utilizzato come supporto per la stabilizzazione dei tessuti molli e per il mantenimento della morfologia originaria, al fine di ottimizzare l’estetica finale.
L’implantologia post-estrattiva rappresenta una modalità terapeutica utilizzabile con una predicibilità di successo sovrapponibile a quella rilevata nell’implantologia convenzionale, con valori del 93-98% (1-11).
I vantaggi degli impianti post-estrattivi immediati sono rappresentati da un posizionamento più preciso della fixture nel rispetto dell'originaria posizione del dente estratto, specie se assistito dalla metodica della chirurgia guidata, dalla riduzione del numero delle chirurgie con un conseguente risparmio in termini biologici, morbidità, di tempo ed economici.
Tuttavia, anche nel caso di corticali vestibolari di spessore adeguato, una riduzione più o meno marcata del profilo vestibolare con una tendenza all'inversione dell'architettura da convessa a concava a seguito del rimodellamento osseo risulta inevitabile (12, 13).
La discrepanza tra il diametro implantare e quello alveolare è direttamente proporzionale alla contrazione dimensionale dell’osso crestale evidenziata dopo la completa maturazione dei tessuti che, nel caso di impianti post-estrattivi ritardati, è generalmente più marcata per la mancanza dell’effetto “scaffold” generato dall’impianto attraverso la sua superficie rugosa (19).
Tale situazione comporta l’applicazione di tecniche di rigenerazione ossea con o senza l’aumento volumetrico della mucosa peri-implantare per ripristinare una morfologia la più ideale possibile e con aumento di morbidità e costi.
La crescente domanda di estetica ha spinto la ricerca scientifica a comprendere i fenomeni biologici che determinano la contrazione dell’alveolo dentale ed evitarla con adeguate tecniche chirurgiche e restaurative.
Il caso clinico illustrato si propone di evidenziare la gestione chirurgico-protesica del sito implantare estrattivo con particolare enfasi alla morfologia del restauro provvisorio, avente lo scopo di supportare i tessuti e di mantenerne la morfologia originaria, presupposto per ottenere la migliore estetica.
Caso clinico
Un paziente di sesso maschile, età 42 anni, senza patologie degne di nota (ASA 1) e in assenza di controindicazioni generali alla chirurgia implantare, lamentava modesta dolorabilità alla pressione in sede 21, dove erano stati eseguiti in precedenza svariati tentativi di terapia endodontica e ricostruttiva.
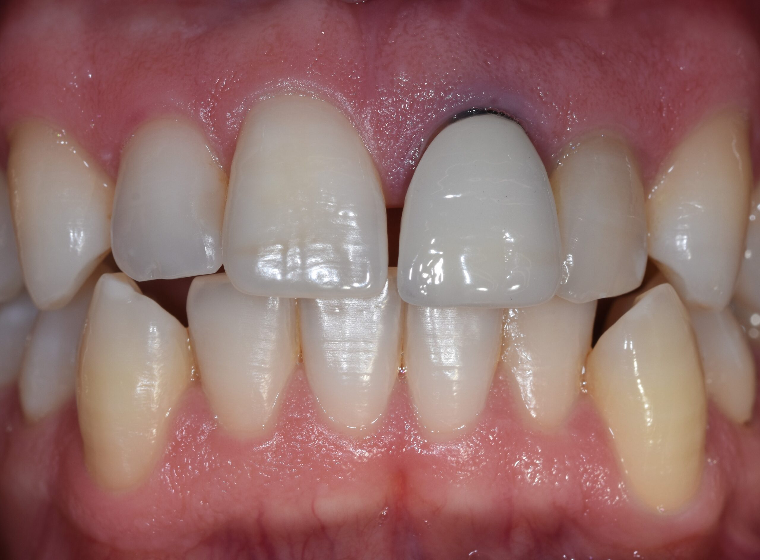
All’esame clinico, l’elemento presentava un restauro in metallo-ceramica e un profilo tissutale conservato nonostante una modesta recessione (Figura 1).

Il fenotipo gengivale appariva cheratinizzato con spessore di circa 1 mm e 6 mm in altezza. Il sondaggio parodontale era nei limiti della norma e in assenza di sanguinamento.
Al test di vitalità gli elementi 21 e 22 risultavano non vitali e all’esame radiografico endorale presentavano un’area di rarefazione periapicale molto estesa (Figura 2).

La corticale vestibolare era ben rappresentata e mantenuta in tutta la sua altezza.
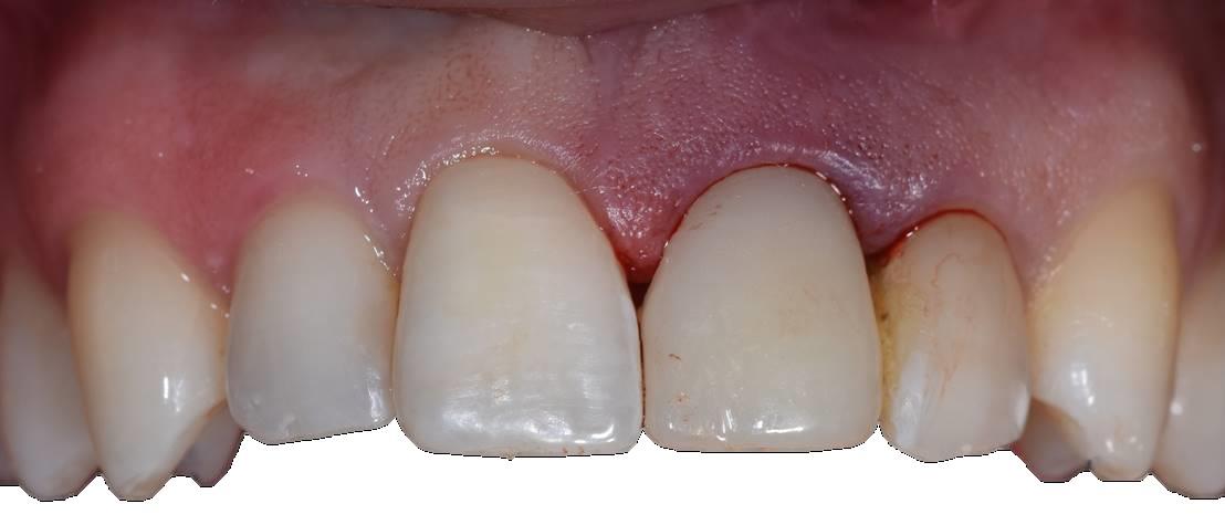
In accordo con il piano di cura veniva eseguito il trattamento endodontico di 22; dopo circa tre mesi veniva eseguito un ulteriore controllo radiografico che evidenziava una riduzione della lesione periapicale soprattutto a carico del 22 (Figura 3) mentre questa permaneva a carico del 21, per il quale veniva programmata l’estrazione.

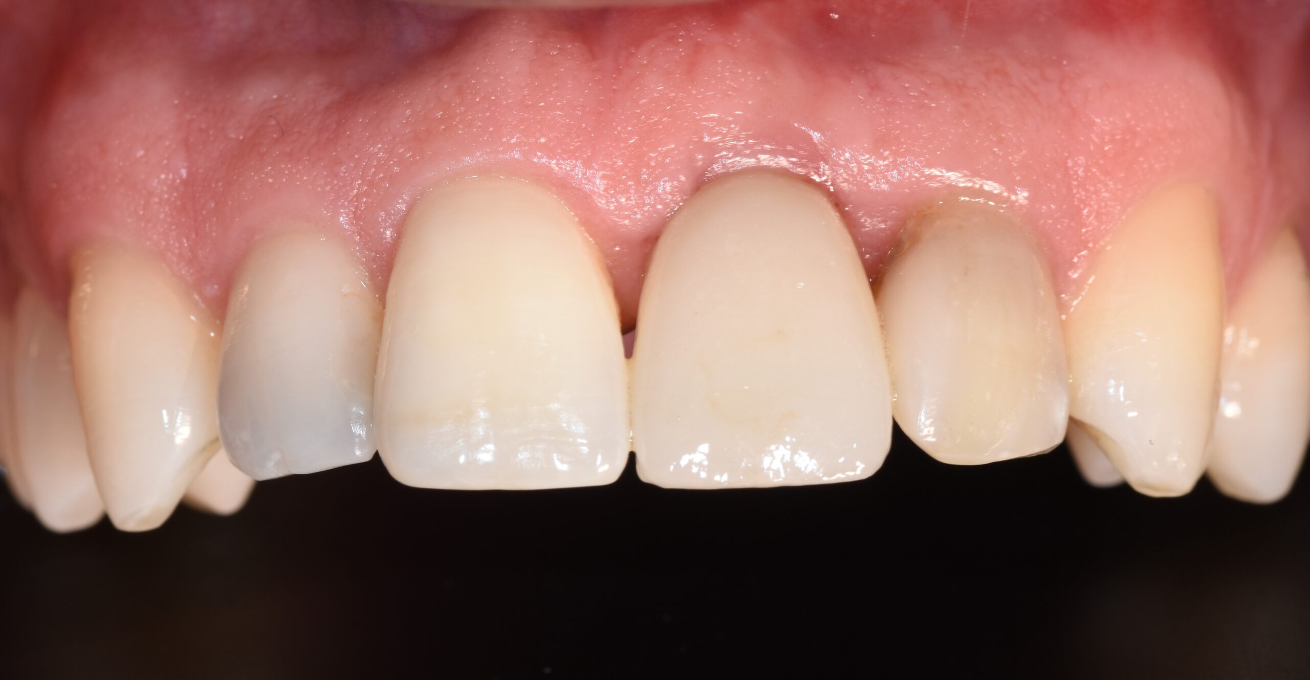
Previa impronta ottica, veniva preparato un Maryland provvisorio di adeguata forma (Figura 4) applicato sul gruppo frontale dopo estrazione atraumatica dell’elemento (Figura 5).


Il provvisorio, di forma ovoidale della parte intra-alveolare, sigillava senza compressione l’alveolo, penetrando in esso per circa 3 mm (Figura 6) (14). Prima della sua applicazione, l’alveolo veniva liberato dal tessuto granulomatoso e riempito con spugna di collagene. Nessun innesto veniva applicato nell’alveolo (15).

Sei mesi dopo, la verifica radiologica CBCT (Figura 7) evidenziava un recupero di radio densità (circa 400 HU) per cui veniva inserito un impianto Biomet-3I Osseotite Tapered Certain di 4 x 13 mm (Figura 8) con torque di inserimento di 20 Ncm.
La tecnica di espansione della cresta ossea (Figure 9-10) veniva scelta per l’osteotomia, con l’intento di compensare una inevitabile contrazione del suo spessore.


Il sito veniva nuovamente sigillato con il ripristino del Maryland. Il basso valore di torque implantare sconsigliava l’inserimento di un provvisorio immediato (16).
Dopo ulteriori tre mesi, l’impianto veniva testato con accesso “flapless”; accertata la sua osteointegrazione con il metodo dello svitamento della vite tappo, veniva predisposto un provvisorio avvitato previa impronta ottica, con indicazioni precise riguardo il profilo di emergenza, che veniva riverificato e corretto direttamente sul paziente seguendo la morfologia dritto/concava della porzione emergente dalla interfaccia implantare (spazio subcritico) per circa 2 mm; a seguire, lievemente divergente coronalmente per circa 2,5 mm (spazio critico) (17) avendo cura di non superare l’angolazione massima di 30°18. Tali indicazioni limiterebbero il riassorbimento del margine crestale osseo, preservando i volumi tissutali (Figura 11).

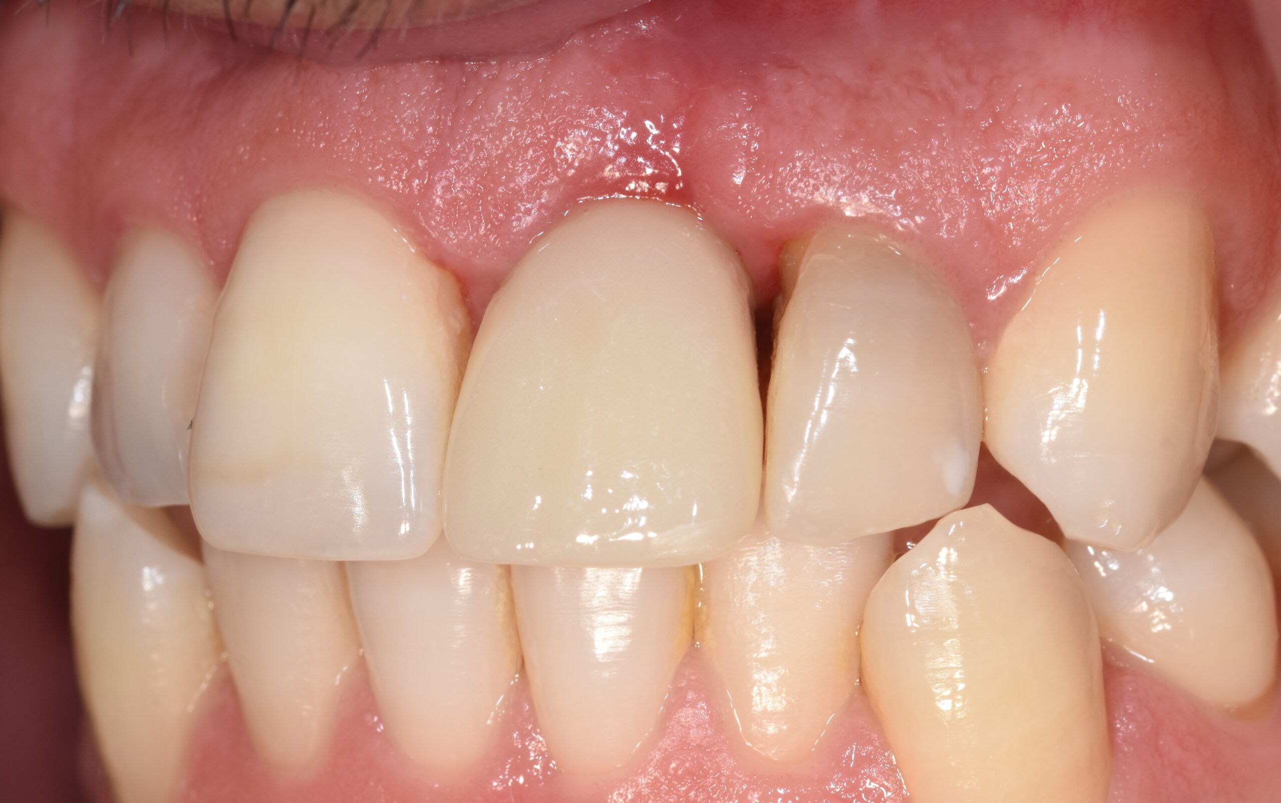
Il provvisorio veniva lasciato a dimora per altri due mesi per consentire la stabilizzazione dei tessuti e del loro profilo per poi procedere con il restauro finale in zirconio-ceramica (Figura 12).

A distanza di sei mesi dall'applicazione del restauro definitivo i tessuti apparivano stabili, con mantenimento della morfologia pre-terapia (Figura 13).

Discussione
L’implantologia post-estrattiva si configura come una strategia terapeutica con una predicibilità di successo comparabile a quella riportata per l’implantologia convenzionale, che si attesta tra il 93 e il 98%1-11. Gli impianti immediati post-estrattivi offrono diversi vantaggi: consentono un posizionamento più accurato dell’impianto, rispettando la posizione originaria del dente estratto, soprattutto se associati a tecniche di chirurgia guidata; facilitano la corretta realizzazione del restauro protesico e riducono il numero di interventi chirurgici necessari, con evidenti benefici biologici, temporali ed economici.
Tuttavia, anche in presenza di corticale vestibolare di spessore adeguato, il rimodellamento osseo comporta inevitabilmente una certa riduzione del profilo vestibolare, con una possibile inversione dell’architettura da convessa a concava (12, 13).
Tale inversione del profilo osseo si manifesta anche dopo l’applicazione di tecniche di preservazione della cresta con l’ausilio di innesti di materiali vari anche in miscellanee.
Circa il 25% dei siti necessita di un ulteriore fase rigenerativa-additiva per ottenere i profili idonei per il completamento della riabilitazione.
Nel caso illustrato, la presenza di una lesione cronica estesa suggeriva un approccio differito prevedendo una difficile stabilità primaria in un contesto biologicamente non favorevole per un impianto post-estrattivo immediato.
La terapia endodontica dell’elemento 22 accompagnava la estrazione del 21 con una gestione dell’alveolo basata sul principio del “sigillo” mucoso periferico con un restauro provvisorio Maryland per mantenere i volumi alveolari originari coerenti con una armonia morfologica del sito, evitando un possibile marcato collasso.
La presenza di una corticale vestibolare integra e di spessore adeguato giustifica la scelta di non utilizzare materiali da innesto eterologhi, consentendo una maturazione del coagulo indisturbata verso la formazione di nuovo osso.
L’inserimento dell’impianto con tecnica espansiva consentiva una compensazione della inevitabile contrazione del sito come sopra rimarcato. Dopo l’osteointegrazione, il sito, seppur “border line”, veniva giudicato morfologicamente adeguato e, pertanto, non veniva considerato un eventuale innesto di tessuto connettivo per perfezionamento del suo profilo, finalizzando il caso con la corona avvitata in zirconio-ceramica.
Conclusioni
La crescente domanda di estetica ha spinto la ricerca scientifica a studiare i fenomeni biologici che determinano la contrazione dell’alveolo dentale dopo una estrazione e a contrastarla con adeguate tecniche chirurgiche e restaurative.
L’analisi clinica e radiologica dei parametri ossei e mucosi, unitamente alla conoscenza dei meccanismi di guarigione dei tessuti, permette di selezionare tecnica e timing chirurgico-restaurativo volti al raggiungimento di una stabilità funzionale ed estetica ottimale.
1.Werbitt MJ, Goldberg PV. The immediate implant: bone preservation and bone regeneration. Int J Periodontics Restorative Dent. 1992;12(3):206-217.
2. Novaes AB Jr, Marcaccini AM, Souza SL, Taba M Jr, Grisi MF. Immediate implants placed into infected sites: a clinical report. Int J Oral Maxillofac Implants. 1995;10(5):609-613.
3. Becker BE, Becker W, Ricci A, Bahat O, Rosenberg E, Rose LF. Implants placed at the time of tooth extraction: a report of preliminary results after 1 year. J Periodontol. 1998;69(8):920-926.
4. Rosenquist B, Grenthe B. Immediate placement of implants into extraction sockets: implant survival. Int J Oral Maxillofac Implants. 1996;11(2):205-209.
5. Schwartz-Arad D, Chaushu G. Placement of implants into fresh extraction sites: 4 to 7 years follow-up of 95 immediate implants. J Periodontol. 1997;68(11):1110-1116.
6. Zitzmann NU, Schärer P, Marinello CP. Factors influencing the success of GBR: smoking, timing of implant placement, implant location, bone quality and provisional restoration. J Clin Periodontol. 1999;26(10):673-682.
7. Schwartz-Arad D, Gulayev N, Chaushu G. Immediate versus non-immediate implantation for full-arch fixed reconstruction following extraction of all residual teeth: a retrospective comparative study. J Periodontol. 2000;71(6):923-928.
8. Fugazzotto PA. Immediate implant placement following a modified trephine/osteotome approach: success rates of 116 implants to 4 years in function. Int J Oral Maxillofac Implants. 2002;17(1):113-120.
9. Paolantonio M, Dolci M, Scarano A, et al. Immediate implantation in fresh extraction sockets. A controlled clinical and histological study in man. J Periodontol. 2001;72(11):1560-1571.
10. Cornelini R, Cangini F, Covani U, Barone A, Buser D. Immediate one-stage postextraction implant: a human clinical and histologic case report. Int J Oral Maxillofac Implants. 2000;15(3):432-437.
11. Chaushu G, Chaushu S, Tzohar A, Dayan D. Immediate loading of single-tooth implants: immediate versus nonimmediate implantation. A clinical report. Int J Oral Maxillofac Implants. 2001;16(2):267-272.
12. Schropp L, Wenzel A, Kostopoulos L, Karring T. Bone healing and soft tissue contour changes following single-tooth extraction: a clinical and radiographic 12-month prospective study. Int J Periodontics Restorative Dent. 2003;23(4):313-323.
13. Araújo MG, Lindhe J. Dimensional ridge alterations following tooth extraction. An experimental study in the dog. J Clin Periodontol. 2005;32(2):212-218.
14. Bakshi M, Patel J, Bansal M, et al. Changes in ridge dimension with pontics immediately placed at extraction sites: a pilot study. Int J Periodontics Restorative Dent. 2018;38(4):541-547.
15. Crespi R, Cappare P, Gherlone E. Changes in alveolar bone width following immediate implant and fresh socket preservation with xenogeneic gap-filling material versus guided tissue healing with anatomical tooth-shaped caps: a 3-year retrospective case-control study. Int J Periodontics Restorative Dent. 2023;43(1):75-83.
16. Degidi M, Piattelli A, Iezzi G, Carinci F. Immediate restoration of small-diameter implants in cases of partial posterior edentulism: a 4-year case series. J Periodontol. 2009;80(6):1006-1012.
17. Su H, Gonzalez-Martin O, Weisgold A, Lee E. Considerations of implant abutment and crown contour: critical contour and subcritical contour. Int J Periodontics Restorative Dent. 2010;30(4):335-343.
18. Yi Y, Koo KT, Schwarz F, Ben Amara H, Heo SJ. Association of prosthetic features and peri-implantitis: a cross-sectional study. J Clin Periodontol. 2020;47(3):392-403.
19. Wilson TG Jr, Schenk R, Buser D, Cochran DL. Implants placed in immediate extraction sites: a report of histologic and histometric analyses of human biopsies. Int J Oral Maxillofac Implants. 1998;13(3):333-341.





