Autori
Michela Paglia (1), Antonio Lucchi (2), Francesca Braiotta (1)
- Reparto di Odontoiatria Materno-Infantile, Istituto Stomatologico Italiano, Milano
2. Reparto di Chirurgia Maxillo-Facciale, Istituto Stomatologico Italiano, Milano Direttore Scientifico Andrea Edoardo Bianchi
Abstract
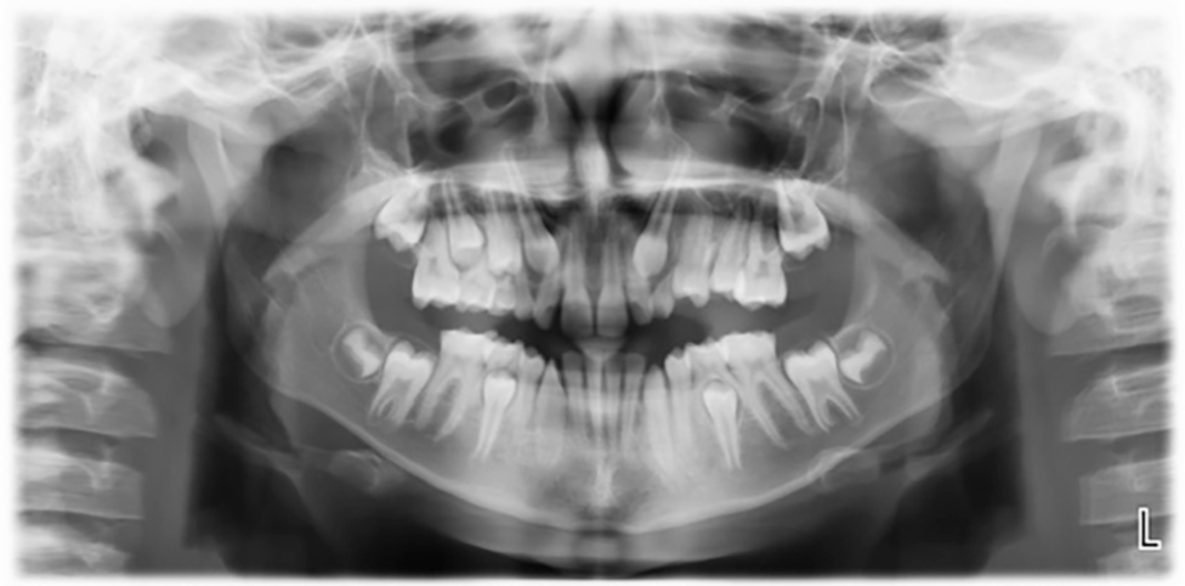
Tra le neoplasie odontogene pediatriche, il mixoma odontogeno (OM) rappresenta un’entità rara e benigna, con un’incidenza compresa tra l’8,5% e l’11,6% e un tasso di recidiva del 25% (1). Si caratterizza per una crescita lenta ma un comportamento localmente aggressivo, tanto da poter simulare, dal punto di vista clinico e radiologico, lesioni di natura maligna (2). La diagnosi definitiva richiede conferma istopatologica. In questo articolo viene presentato un caso clinico di mixoma odontogeno mascellare in età pediatrica, illustrando le fasi diagnostiche, l’approccio terapeutico adottato e il protocollo di follow-up attuato.
Odontogenic myxoma of the maxilla in pediatric age: case report
Among pediatric odontogenic neoplasms, odontogenic myxoma (OM) represents a rare and benign entity, with an incidence ranging from 8.5% to 11.6% and a recurrence rate of 25%1. It is characterized by slow growth but locally aggressive behavior, to the extent that it can simulate, from a clinical and radiological point of view, lesions of a malignant nature2. The definitive diagnosis requires histopathological confirmation. This article presents a clinical case of maxillary odontogenic myxoma in pediatric age, illustrating the diagnostic phases, the therapeutic approach adopted and the follow-up protocol implemented.
Questo contenuto è riservato agli abbonati a Il Dentista Moderno.
Abbonati e continua a leggere su DM Club, l'area premium de Il Dentista Moderno



