Nella pratica clinica quotidiana dell’odontoiatra, in particolare dell’ortodontista e del pedodontista, è necessaria la presenza di un definito percorso di gestione del paziente pediatrico con OSAS. Una diagnosi corretta e precoce si rivela di fondamentale importanza per prevenire complicanze sistemiche e migliorare la qualità di vita dei bambini affetti da questa condizione
Sorina Savin1, Luca Mazzofranco1, Antonio Gracco1, Giovanni Bruno1, Alberto De Stefani1,2
1Department of Neuroscience, Section of Pediatric Dentistry, University of Padua, Italy
2Department of Pharmacological Sciences, University of Padua, Italy
La sindrome delle Apnee Ostruttive del Sonno (OSAS) è un disturbo respiratorio del sonno caratterizzato da ripetuti episodi notturni di ostruzione parziale (ipopnea) e/o totale (apnea) delle vie aeree superiori; può coinvolgere i soggetti in età evolutiva con una prevalenza che varia dall’1,2% al 5,8%1. Ad oggi, tale condizione viene spesso diagnosticata tardivamente o addirittura non diagnosticata, eppure una sua corretta e precoce diagnosi risulta fondamentale poiché consente di prevenire l’insorgenza di complicanze sistemiche cardiovascolari e metaboliche, disturbi neurocognitivi, disturbi comportamentali e una ridotta crescita staturale2.
Tuttavia, al momento, vi è una carenza di consapevolezza e di adeguata collaborazione interdisciplinare per la diagnosi e il trattamento di tale patologia; pertanto, risulta fondamentale istruire le diverse figure professionali con il fine di poter intervenire tempestivamente sul piccolo paziente e migliorare la sua qualità di vita3.
L’American Academy of Pediatrics (AAP) raccomanda una valutazione accurata dell’anamnesi ipnologica, familiare e dell’esame clinico durante le visite mediche di routine, al fine di eseguire uno screening iniziale dei possibili pazienti affetti da OSAS1. Oltre all’anamnesi generale, vanno somministrati ai genitori questionari validati, tra cui il PSQ (Pediatric Sleep Questionnaire)4 che risulta essere il questionario più preciso tra quelli presenti in letteratura5-7.
Infine, per la conferma diagnostica, è sempre richiesta l’esecuzione di un esame strumentale tra cui la polisonnografia, che rappresenta il gold standard, e la poligrafia9.
L’odontoiatra ha una posizione vantaggiosa per riconoscere eventuali segni e sintomi dell’apnea notturna poiché ha la possibilità di visitare, mediante controlli regolari, i bambini fin dalla tenera età dei due anni. Pertanto, l’obiettivo di quest’articolo è quello di descrivere il percorso di pedodontisti e ortodontisti nella gestione del paziente con sospetto diagnostico di OSAS partendo dalla diagnosi fino ad arrivare a una scelta terapeutica multidisciplinare10.
Materiali e metodi
A tutti i soggetti pediatrici e adolescenti della clinica Odontoiatrica di Padova, reparto di Pedodonzia e Ortodonzia, viene effettuata un’approfondita anamnesi generale accompagnata dalla compilazione del questionario PSQ e da un esame clinico del piccolo paziente. I pazienti con sospetto diagnostico di OSAS vengono inseriti in lista d’attesa per l’esecuzione di una poligrafia domiciliare per una diagnosi di certezza. Il poligrafo utilizzato è l’Embletta della SapioLife (Figura 1)11 che viene consegnato ai genitori dei pazienti fornendo loro le indicazioni per un corretto posizionamento della macchinetta.

L’esame viene eseguito per due notti consecutive e la registrazione con meno artefatti viene refertata da una dottoressa neurologa esperta in disturbi respiratori del sonno. Per la definizione della gravità della patologia vengono presi in considerazione i seguenti parametri:
- indice di apnea-ipopnea (AHI) per ora di sonno;
- indice AHI in posizione supina;
- numero di eventi di desaturazione per ora di sonno (ODI);
- saturazione media (SaO2 media);
- saturazione minima registrata (NADIR);
- tempo trascorso con una saturazione inferiore al 90% (CT90).
In base ai valori di questi parametri, i pazienti vengono classificati secondo le Linee Guida AIMS (Associazione Italiana di Medicina del Sonno) in non patologico, OSAS minima, OSAS lieve, OSAS moderata e OSAS severa (Tabella 1).
Tabella 1 - Classificazione della severità dell’OSAS secondo le Linee Guida AIMS
| OSAS minima | AHI 1-3 events/h and SaO2> 97% |
| OSAS lieve | AHI 3-4 events/h and SaO2>97% |
| OSAS moderata | AHI 5-9 events/h and SaO2>97% |
| OSAS severa | AHI ≥ 10 events/h and SaO2<95% |
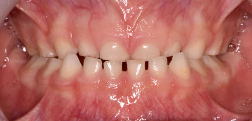
I soggetti risultati positivi alla poligrafia vengono poi indirizzati alla raccolta della documentazione fotografica per uno studio più dettagliato delle caratteristiche extraorali e intraorali (Figura 2).
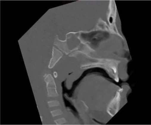
Tale studio permette di approfondire determinati aspetti morfologici predisponenti alle OSAS, come particolari caratteristiche occlusali e craniofacciali12, ipertrofia adenotonsillare, anchiloglossia, deglutizione atipica ecc. Per un completo studio del caso viene richiesta, infine, l’esecuzione delle seguenti radiografie: l’ortopantomografia, la teleradiografia in proiezione latero-laterale e, in particolari situazioni cliniche, la CBCT per uno studio più approfondito delle vie aeree superiori (Figura 3).
Risultati
Applicando il diagramma di flusso riportato nel Grafico 1, tra tutti i pazienti del reparto di pedodonzia e ortodonzia della Clinica Odontoiatrica di Padova 67 soggetti, di cui 38 maschi, con un’età media di 9.2 anni sono stati identificati come sospetti diagnostici in un periodo di osservazione che va da settembre 2021 a settembre 2022. Ai 67 soggetti con sospetto diagnostico è stata eseguita la poligrafia domiciliare e 19 su 67 (28,3%), sono risultati positivi e, quindi, affetti dalla patologia. Questi ultimi, in base alla gravità dell’OSAS e alle caratteristiche eziopatogenetiche della malattia, tramite un approccio graduale e personalizzato sono stati valutati da diversi specialisti (Tabella 2).

Tabella 2. Figure professionali coinvolte nella gestione del trattamento dell’OSAS pediatrica
| Problematica | Specialista | Trattamento |
| Obesità | Dietologo | Calo ponderale |
| Ostruzione nasale | Otorinolaringoiatra | - Terapia medica- Adenotonsillectomia |
| Malocclusioni dentali e/o scheletriche | Ortodontista | - Espansore rapido del palato- Propulsori mandibolari |
| Disfunzioni muscolari oro-facciali | Logopedista | Rieducazione muscolare oro-facciale |
| OSAS severa senza indicazione al trattamento chirurgicoOSAS residua dopo intervento chirurgicoTrattamento chirurgico ritardato | Pneumologo | Ventilazione a pressione positiva con CPAP |
I soggetti obesi vengono indirizzati da un dietologo per un calo ponderale, spesso associato ad altre terapie. I soggetti con ostruzione nasale, ipertrofia adenotonsillare, infiammazione dei seni mascellari vengono indirizzati dall’otorinolaringoiatra. Di fronte a un OSAS moderata-grave, con una componente ostruttiva preponderante, il gold standard è rappresentato dall’adenotonsillectomia13. In tal caso, tutta la documentazione fotografica e il referto dell’esame poligrafico vengono inviati tempestivamente all’otorinolaringoiatra. Nel frattempo, se sono presenti problematiche di tipo occlusale, si cerca di intervenire ortodonticamente il prima possibile, in modo da risolvere la malocclusione associata all’OSAS e ridurre la gravità della patologia mentre si è in attesa dell’intervento otorinolaringoiatrico.
I pazienti con OSAS lieve-moderata e con problematiche occlusali e craniofacciali devono essere valutati ortodonticamente e intraprendere il trattamento ortodontico più adeguato a portare beneficio: in primo luogo, alla problematica respiratoria e, in secondo luogo, alla malocclusione.
Numerosi studi sono a sostegno dell’efficacia del trattamento con espansore rapido del palato14 (Figura 3) nell’aumentare il volume nasale e incrementare il flusso respiratorio15.
Una riduzione dell’indice AHI avviene inoltre, come dimostrato da diversi studi in letteratura, grazie al trattamento con propulsori mandibolari116 per correzioni di seconda classe.

Si ricorre al logopedista in pazienti che necessitano della terapia miofunzionale in quanto, come riporta la letteratura, grazie a essa si ottiene una riduzione dell’indice AHI del 50% negli adulti e del 62% nei bambini17. Il trattamento miofunzionale può essere associato al trattamento con RPE per un mantenimento degli effetti benefici del trattamento ortodontico e il ripristino di una normale respirazione nasale18, 19.
In caso di non responsività ad altri trattamenti, va considerato il trattamento con CPAP (Continuous Positive Airway Pressure).
Infine, pazienti con problematiche respiratorie di tipo centrale vengono indirizzati dal neurologo con tutta la documentazione raccolta, spesso preferibilmente accompagnata anche da una registrazione video del bambino durante il sonno.
In seguito a ogni tipo di trattamento viene sempre eseguita una poligrafia di controllo per valutare se la patologia è stata completamente risolta, e il paziente viene sottoposto a un attento monitoraggio nel tempo tramite indagini clinico strumentali.
Conclusioni
L’ortodontista e il pedodontista hanno la possibilità di intercettare i bambini affetti da OSAS e intervenire con un trattamento volto alla risoluzione o miglioramento della patologia. Pertanto, risulta necessario avere a disposizione un percorso definito da seguire che passi dalla diagnosi di sospetto alla diagnosi di certezza in breve tempo. In tal modo si possono evitare numerose complicanze dovute a un mancato trattamento della patologia; questo prevede la gestione del paziente da parte di un gruppo composto da più figure professionali che hanno come obiettivo la scelta di un trattamento mirato per il singolo paziente.
Lo scopo di questo lavoro è quello di descrivere il percorso di gestione multidisciplinare del paziente pediatrico con sospetta Sindrome delle Apnee Ostruttive del Sonno (OSAS).
Materiali e metodi: tutti i soggetti pediatrici vengono sottoposti a un’anamnesi generale accompagnata dalla compilazione del Questionario Pediatrico del Sonno (PSQ) e da un esame fisico. I soggetti con sospetto di OSAS vengono inseriti in lista d’attesa per l’esecuzione di una poligrafia domiciliare.
Risultati: 67 soggetti (di cui 38 maschi) con un’età media di 9,2 anni sono stati identificati come sospetti diagnostici. Dei 67 pazienti, 19 (28,3%) sono risultati positivi alla poligrafia.
Conclusione: nella pratica clinica quotidiana dell’odontoiatra, in particolare dell’ortodontista e del pedodontista, è necessaria la presenza di un definito percorso di gestione del paziente pediatrico con OSAS.
The aim of this paper is to describe the multidisciplinary management path of the pediatric patient with suspected Obstructive Sleep Apnea Syndrome (OSAS). Materials and methods: all pediatric subjects are subjected to a general anamnesis accompanied by the compilation of the Pediatric Sleep Questionnaire (PSQ) and by a physical examination. Subjects with suspicion of OSAS are placed on a waiting list for the execution of home polygraphy. Results: 67 subjects (including 38 males) with an average age of 9.2 years old, were identified as diagnostic suspects. Of 67 patients, 19 (28.3%) tested positive from polygraphy. Conclusion: in the daily clinical practice of the dentist, especially of the orthodontist and pedodontist, the presence of a defined path of management of the pediatric patient with OSAS is necessary.
1. Marcus CL, Brooks LJ, Ward SD, et al. Diagnosis and Management of Childhood Obstructive Sleep Apnea Syndrome. Pediatrics. 2012;130(3):e714-e755.
2. Blechner M, Williamson AA. Consequences of Obstructive Sleep Apnea in Children. Curr Probl Pediatr Adolesc Health Care. 2016;46(1):19-26.
3. Liem E. Sleep Disorders in Pediatric Dentistry: Clinical Guide on Diagnosis and Management. Springer; 2019.
4. Chervin RD, Hedger K, Dillon JE, Pituch KJ. Pediatric Sleep Questionnaire (PSQ): validity and reliability of scales for sleep-disordered breathing, snoring, sleepiness, and behavioral problems. Sleep Med. Published online 2000:12.
5. De Luca Canto G, Singh V, Major MP, et al. Diagnostic capability of questionnaires and clinical examinations to assess sleep-disordered breathing in children: a systematic review and meta-analysis. J Am Dent Assoc 1939. 2014;145(2):165-178.
6. Ranieri S, Ballanti F, Cozza P. Validazione linguistica di un questionario per la diagnosi dei disturbi respiratori del sonno nei bambini. Dent Cadmos. 2016;84(9):576.
7. Panzarella V, Giuliana G, Spinuzza P, et al. Paediatric Sleep Questionnaire for Obstructive Sleep Apnoea Syndrome Screening: Is Sleep Quality Worthy of Note? Appl Sci. 2021;11(4):1440.
8. Muzumdar H, Arens R. Diagnostic issues in pediatric obstructive sleep apnea. Proc Am Thorac Soc. 2008;5(2):263-273.
9. Franco P, Bourdin H, Braun F, Briffod J, Pin I, Challamel MJ. [Overnight polysomnography versus respiratory polygraphy in the diagnosis of pediatric obstructive sleep apnea]. Arch Pediatr Organe Off Soc Francaise Pediatr. 2017;24 Suppl 1:S16-S27.
10. Al-Shamrani A, Alharbi AS. Diagnosis and management of childhood sleep-disordered breathing: Clinical approach. Saudi Med J. 2020;41(9):916-929.
11. Ng SSS, Chan TO, To KW, et al. Validation of Embletta portable diagnostic system for identifying patients with suspected obstructive sleep apnoea syndrome (OSAS). Respirol Carlton Vic. 2010;15(2):336-342.
12. AlHammad NS, Hakeem LA, Salama FS. Orofacial findings associated with obstructive sleep apnea in a group of Saudi Children. Pak J Med Sci. 2015;31(2):388-392.
13. Allegato al parere del Consiglio Superiore di Sanità – Sezione III. Linee guida nazionali per la prevenzione ed il trattamento odontoiatrico del russamento e della sindrome delle apnee ostruttive nel sonno in età evolutiva. Published online March 15, 2016.
14. Buccheri A, Chinè F, Fratto G, Manzon L. Rapid Maxillary Expansion in Obstructive Sleep Apnea in Young Patients: Cardio-Respiratory Monitoring. J Clin Pediatr Dent. 2017;41(4):312-316.
15. Kiliç N, Oktay H. Effects of rapid maxillary expansion on nasal breathing and some naso-respiratory and breathing problems in growing children: a literature review. Int J Pediatr Otorhinolaryngol. 2008;72(11):1595-1601.
16. Ghodke S, Utreja AK, Singh SP, Jena AK. Effects of twin-block appliance on the anatomy of pharyngeal airway passage (PAP) in class II malocclusion subjects. Prog Orthod. 2014;15:68.
17. Camacho M, Certal V, Abdullatif J, et al. Myofunctional Therapy to Treat Obstructive Sleep Apnea: A Systematic Review and Meta-analysis. Sleep. 2015;38(5):669-675.
18. Chung JC. Redirecting the growth pattern with rapid maxillary expander and chin cup treatment: changing breathing pattern from oral to nasal. World J Orthod. 2006;7(3):236-253.
19. Levrini L, Lorusso P, Caprioglio A, et al. Model of oronasal rehabilitation in children with obstructive sleep apnea syndrome undergoing rapid maxillary expansion: Research review. Sleep Sci Sao Paulo Braz. 2014;7(4):225-233.


