Autori
Leonardo Di Vittorio
DDS collaboratore del Reparto di Patologia orale, Istituto Stomatologico Italiano, Milano
Direttore Scientifico: Prof. Andrea Edoardo Bianchi
Marco Roghi
MD, MFS, DDS, Responsabile del Reparto di Patologia Orale, Istituto Stomatologico Italiano, Milano.
Direttore Scientifico: Prof. Andrea Edoardo Bianchi
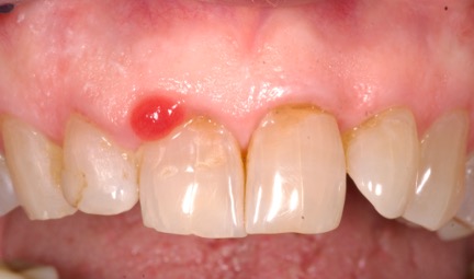
Le epulidi gengivali sono lesioni proliferative benigne di natura reattiva che originano dalla gengiva e dal tessuto connettivo sottostante. In questo articolo gli autori descrivono tre casi clinici in cui le epulidi gengivali sono state trattate con successo mediante l’impiego di laser a diodi.
Questo contenuto è riservato agli abbonati a Il Dentista Moderno.
Abbonati e continua a leggere su DM Club, l'area premium de Il Dentista Moderno
Sei già abbonato? Effettua il login e leggi l’articolo completo.



