Autori
Rolando Crippa
Prof. a c. Master Internazionale II Liv. Laser Dentistry Università Cattolica del Sacro Cuore di Roma
Sabrina De Michele
Libera professionista, ISI Milano
Francesca Angiero
Prof. Associato Università degli Studi di Genova
Abstract
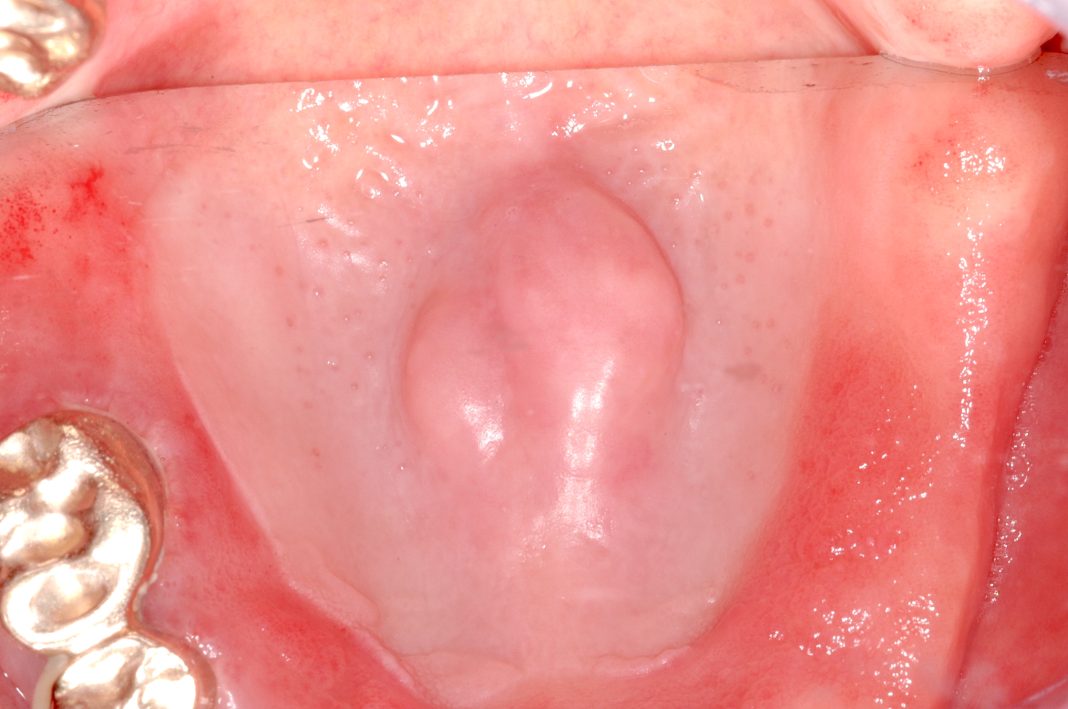
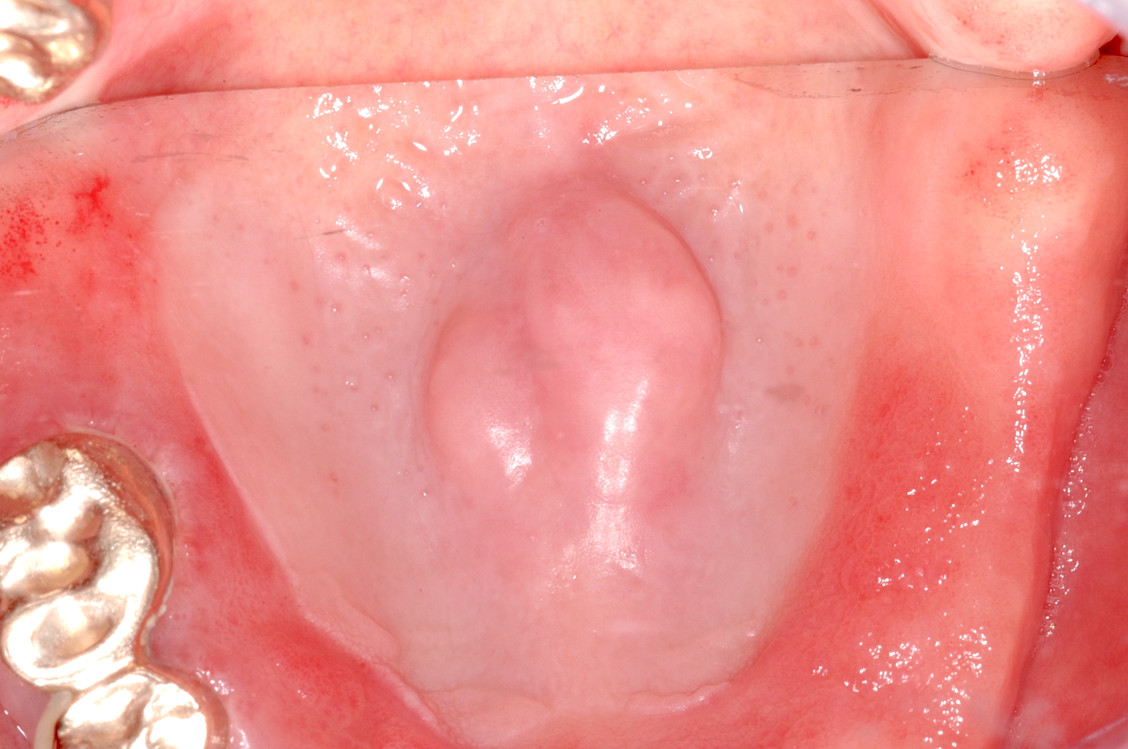
Il laser ad erbio rappresenta oggi uno strumento versatile ed efficace nella chirurgia ossea orale, con applicazioni che spaziano dalla gestione delle cisti mandibolari e mascellari, al trattamento delle osteonecrosi da bifosfonati (MRONJ), fino agli interventi di osteotomia e alla rimozione di neoformazioni benigne. I casi clinici presentati evidenziano i principali vantaggi di questa tecnologia: riduzione del danno termico, precisione nell’ablazione dei tessuti, assenza di smear layer e promozione di una rapida guarigione. L’esperienza clinica conferma, dunque, come il laser ad erbio possa costituire una valida alternativa agli strumenti meccanici tradizionali, offrendo benefici sia all’operatore sia al paziente.
The erbium laser in oral bone surgery
The erbium laser has emerged as a versatile and effective tool in oral bone surgery, with applications ranging from the management of mandibular and maxillary cysts to the treatment of bisphosphonate-related osteonecrosis of the jaws (MRONJ), as well as osteotomy procedures and the removal of benign lesions.
The clinical cases presented highlight the main advantages of this technology: reduced thermal damage, precise tissue ablation, absence of smear layer, and enhanced healing.
Clinical evidence supports the role of the erbium laser as a reliable alternative to conventional mechanical instruments, providing significant benefits for both the practitioner and the patient.
Questo contenuto è riservato agli abbonati a Il Dentista Moderno.
Abbonati e continua a leggere su DM Club, l'area premium de Il Dentista Moderno



