Una nuova frontiera nella gestione dei tessuti parodontali
Nel trattamento delle parodontiti, la sfida per l’odontoiatra e l’igienista dentale è duplice: contenere l’infiammazione e promuovere la rigenerazione dei tessuti molli compromessi.
Accanto ai protocolli meccanici di rimozione del biofilm batterico, la ricerca ha portato alla luce nuove strategie basate su molecole biologicamente attive, capaci di sostenere i naturali processi di guarigione tissutale.
In questo contesto nasce Ubigel Inperio, dispositivo medico muco-adesivo sviluppato da Pierrel, che sfrutta la sinergia tra spermidina e acido ialuronico per favorire la ricompattazione epiteliale e il ripristino dell’integrità parodontale, insieme ad altri componenti antinfiammatori e batteriostatici.
Spermidina e acido ialuronico: una combinazione biologicamente attiva
L’acido ialuronico, ampiamente utilizzato in odontoiatria per le sue proprietà idratanti e viscoelastiche, contribuisce a creare un microambiente protettivo e bioadesivo, ideale per la rigenerazione dei tessuti.
A questa azione si affianca quella della spermidina, una poliammmina naturale derivata dall’arginina, riconosciuta per il suo ruolo nel mantenimento dell’omeostasi cellulare e nei processi di autofagia, fondamentali per il rinnovo tissutale.
In Ubigel Inperio, la spermidina e l’acido ialuronico lavorano in sinergia, potenziando i rispettivi effetti.
L’acido ialuronico crea un ambiente ideale in cui la spermidina può agire in modo più efficace, riducendo l’infiammazione e contribuendo di conseguenza alla rigenerazione cellulare.
Il risultato è un gel biocompatibile e non invasivo, che favorisce la guarigione naturale dei tessuti, anche in presenza di sanguinamento gengivale.
Un supporto non chirurgico per la terapia parodontale
Ubigel Inperio si applica direttamente nelle tasche gengivali, previo trattamento strumentale, formando una barriera muco-adesiva attraverso la formazione di un cemento morbido, che sigilla la zona e la protegge durante le prime fasi della guarigione.
Grazie alla sua formulazione viscoelastica, il gel aderisce ai tessuti e consente ai componenti in esso contenuti di agire per un tempo sufficientemente lungo.
Il paziente sperimenta un miglior comfort post-terapia, con riduzione di dolore, sanguinamento e gonfiore già nelle prime 48 ore.
Ubigel Inperio
- Azione trofica e bioadesiva
- Effetto antinfiammatorio e batteriostatico
- Supporto alla rigenerazione epiteliale e connettivale
- Indicazione: trattamento non chirurgico della parodontite e supporto post-terapia implantare
Esperienza clinica e risultati
L’introduzione di Ubigel Inperio nella pratica clinica ha mostrato risultati incoraggianti già nelle prime settimane di utilizzo.
Nei casi di parodontite in stadio iniziale, si osserva una riduzione dell’infiammazione gengivale e una ricompattazione del tessuto marginale, con un miglioramento del profilo gengivale e una maggiore stabilità del sigillo epiteliale.
In situazioni di recessione gengivale o tasche residue post-scaling, il gel ha dimostrato di accelerare i processi di guarigione, favorendo la formazione di un tessuto più compatto e resistente al sondaggio.
Per ottimizzare l’esito terapeutico, si consiglia di evitare lo spazzolamento dell’area trattata fino al giorno successivo e sospendere l’uso degli scovolini per circa 48 ore.
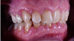
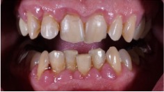
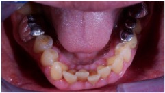
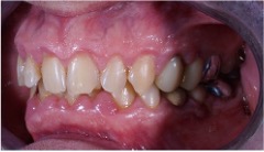
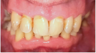
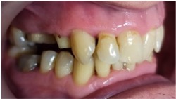
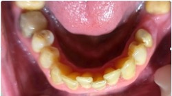
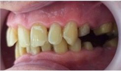
Caso clinico
Prima del trattamento con Ubigel Inperio
Dopo il trattamento con Ubigel Inperio
Ubigel Inperio rappresenta una nuova generazione di dispositivi rigenerativi non chirurgici, capace di integrare la terapia parodontale convenzionale con un approccio biologicamente attivo.
Per l’odontoiatra e l’igienista dentale, significa disporre di uno strumento efficace, sicuro e facile da applicare, in grado di migliorare la qualità della guarigione e il comfort del paziente.
Con la sua azione sigillante, rigenerante e protettiva, Ubigel Inperio è oggi una risposta concreta e innovativa alla gestione della parodontite nei suoi stadi iniziali.
Per essere contattato da un agente e/o approfittare dell’offerta commerciale: info@pierrelgroup.com












