
Domenico Viscuso, DDS, MSc
Marco Storari, DDS
Department of Surgical Science, College of Dentistry, School of Orthodontics, Orofacial pain center, University of Cagliari
Il bruxismo è una condizione comune durante l’infanzia, ma tuttora molto dibattuta e non priva di comorbilità. Da questa revisione emerge che la sua gestione richiede un approccio interdisciplinare combinato, che consideri eventuali problemi occlusali, senza trascurare fattori quali personalità, qualità del sonno, ansia e stress
Il bruxismo è un’attività ripetitiva dei muscoli masticatori (MMs) caratterizzata dal serrare o digrignare i denti e/o dal rinforzo o dalla spinta della mandibola(1). Questa definizione è stata recentemente introdotta da un panel di esperti internazionali con il fine di descrivere una condizione comune, ma tuttora molto dibattuta. Problemi dentali, dolore e disfunzioni orofacciali, disturbi neurologici e apnea ostruttiva del sonno sono tutte condizioni legate al Bruxismo (2, 3, 4). Da qui si giustifica ulteriormente l’interesse pragmatico sviluppatosi intorno al bruxismo, soprattutto per identificare i fattori di rischio e cercare di standardizzare la diagnosi e la gestione. Innanzitutto, è necessario sottolineare che esistono due distinte manifestazioni circadiane del bruxismo: il bruxismo del sonno (SB) e il bruxismo della veglia (AB). Il SB rappresenta un’attività fasica o tonica dei MMs durante il sonno, mentre il AB è un’attività degli stessi MMs durante la veglia caratterizzata da contatto dentale ripetitivo o sostenuto e/o da rinforzo o spinta della mandibola1. Tuttavia, entrambi i tipi non possono più essere definiti categoricamente disturbi del movimento in tutti gli individui ma richiedono un inquadramento decisamente più complesso (1). Sfortunatamente, fino ad ora gli autori hanno concentrato la loro attenzione sul bruxismo principalmente nella popolazione adulta e mancano ancora evidenze significative sul bruxismo pediatrico. Inoltre, il SB nei bambini è stato studiato più in profondità rispetto al AB e quindi persiste ancora più scarsità di dati su quest’ultimo. A complicare ulteriormente la situazione vi è il fatto che gli studi disponibili hanno adottato diverse strategie diagnostiche e hanno indagato popolazioni con caratteristiche diverse. Si può dunque sostenere che stime accurate circa le caratteristiche del bruxismo sono difficili nei bambini a livello di comunità. In questo quadro, il nostro obiettivo è fornire una panoramica circa la letteratura sul bruxismo pediatrico e cercare di delineare lo stato dell’arte su questa condizione.
Epidemiologia
Nonostante i tassi di prevalenza del bruxismo nei bambini siano stati oggetto di numerosi studi, un chiaro consenso ancora oggi non è stato identificato. Manfredini et al (5) hanno riportato un’ampia gamma di variabilità nel bruxismo pediatrico, dal 5% al 40,6%. Risultati simili sono stati evidenziati anche da Machado et al. in un’altra revisione sistematica, con un picco fino al 50% (6). Verosimilmente, la grande variabilità dei parametri utilizzati per valutare il bruxismo pediatrico contribuisce a questa confusione. Infatti, approcci diagnostici strumentali e non strumentali riconoscono differenti cut-offs. I primi sono indubbiamente preferibili in quanto più specifici e sensibili, ma i secondi risultano più semplici e pratici sebbene suscettibili di interpretazioni e valutazioni differenti. In questo scenario, infatti, come riportato da Simola P et al, la prevalenza del bruxismo cambia notevolmente quando si studia la frequenza degli eventi (7). Inoltre, poiché la maggior parte degli studi si basa sui rapporti dei genitori, l’educazione dei genitori a riconoscere il serramento e il digrignamento (e la loro frequenza) dei loro figli costituisce un’altra variabile significativa (8).
Le speculazioni sul ruolo dell’età nella prevalenza del bruxismo sono a loro volta ancora dibattute. Tuttavia, sembrerebbe emergere una relazione inversa tra età e bruxismo5. Tale osservazione potrebbe supportare la convinzione comune secondo cui il bruxismo tenda a diminuire spontaneamente con l’età nei bambini. D’altra parte, il ruolo patologico del bruxismo nei bambini dovrebbe essere attentamente studiato poiché la corretta attività dei MMs gioca un ruolo chiave nella crescita e nello sviluppo del massiccio facciale (9).
Carra MC et al hanno ulteriormente confermato tali risultati riguardo al SB, anche se, curiosamente, hanno scoperto che il AB aumenta tra gli adolescenti (10). Tali prove potrebbero invece supportare il ruolo dello stress, delle imposizioni sociali e della paura del fallimento imposte dalla società moderna nella genesi del AB. Inoltre, si potrebbe anche ipotizzare che la diminuzione della prevalenza del SB con l’età sia dovuta a sempre più sporadiche visite notturne dei genitori nelle camerette dei bambini. Inoltre, interpretazioni diverse relativamente al ruolo patologico del bruxismo possono rappresentare altri fattori confondenti nella stima della sua prevalenza nei bambini. Per quanto riguarda il genere, non sembrano esistere differenze significative (11) anche se alcuni studi hanno riportato una maggiore prevalenza nei maschi (12, 13). Allo stesso modo, l’ambiente socioculturale non sembrerebbe essere in grado di influenzare significativamente la prevalenza del bruxismo. Infatti, non sono state evidenziate differenze né quando le città sviluppate sono state comparate a quelle in via di sviluppo (13) né quando sono state confrontate le città e le aree rurali (14).
Eziologia e fisiopatologia
È stato ipotizzato che molteplici fattori di rischio aumentino la probabilità di sviluppare il bruxismo nei bambini. Mentre il AB è principalmente dovuto a fattori psicosociali, la fisiopatologia del SB appare più complessa e centralmente mediata (15). L’onset dell’attività ripetitiva dei MMs durante il sonno avviene contestualmente a microarousal - cioè il cervello passa dal sonno a stati di eccitamento con un aumento delle attività autonome - ma probabilmente non è direttamente sotto l’influenza della corteccia (16). Tuttavia, esistono ancora molte questioni irrisolte a causa della mancanza di studi, sia negli adulti ma soprattutto nei bambini.
In generale, tra quelli osservati, i problemi del sonno, le abitudini parafunzionali e i fattori psicosociali sono emersi come i fattori più probabilmente associati allo sviluppo del SB pediatrica.
Correlazioni significative tra bruxismo e stati emotivi nei giovani erano state ipotizzate già cinquant’anni fa (17). Questa relazione è stata ulteriormente rafforzata dall’evidenza di un aumento dei livelli urinari di catecolamine nei bambini che presentano bruxismo (18). Gli stessi autori hanno anche riportato un andamento dose-risposta positivo dal momento che il rischio di sviluppare il bruxismo è sembrato aumentare con l’aumento dei livelli di adrenalina e dopamina. Anche i tratti della personalità sembrano essere fortemente associati al SB nei bambini. I bambini con SB hanno infatti dimostrato livelli più elevati di senso di responsabilità e nevroticismo (19). Allo stesso modo, i bambini che vivono in un ambiente familiare malsano, come nei casi di genitori divorziati, sono apparsi più suscettibili a sviluppare bruxismo, a supporto ulteriore del ruolo negativo svolto dall’ansia e dallo stress (19, 20, 21).
Abitudini parafunzionali come mordere oggetti sono state riportate moderatamente associate sia al SB che al AB pediatrico (19, 10). È anche noto che tali comportamenti rappresentano spesso risposte reattive a sottostanti fattori psicosociali nel bruxismo (15).
I bambini con SB e AB hanno riportato disturbi del sonno più frequentemente rispetto a individui altrimenti sani. Dormire meno di 8 ore a notte, risvegli frequenti, lunga latenza del sonno, sonno irrequieto e dormire con la luce accesa o in un ambiente rumoroso aumentano il rischio di SB nei bambini (19, 10). Correlazioni significative tra SB e ben più noti disturbi respiratori del sonno (SDB) – russamento abituale e apnea ostruttiva del sonno –, nonché episodi di ostruzione nasale, sono emerse anche nei bambini e negli adolescenti (22, 23, 24). Inoltre, una forte esposizione al fumo passivo è risultata significativamente associata al SB (19). Al contrario, l’occlusione dentale e la morfologia dello scheletro facciale non sono più considerati fattori di rischio per il bruxismo (15). Anche tra i bambini non è stata dimostrata la plausibilità biologica relativa all’ipotesi di causa ed effetto di tale correlazione (25). In tale scenario, i trattamenti occlusali precoci non sono scientificamente supportati per prevenire o controllare il bruxismo nei bambini.
Pochi studi hanno invece indagato il ruolo della predisposizione ereditaria nel bruxismo. Di recente, è stato scoperto che polimorfismi dei geni coinvolti nel metabolismo della dopamina sono associati al bruxismo nei bambini, vale a dire Dopamine Receptor D2 (DRD2), Ankyrinrepeat and kinase domain containing 1 (ANKK1) and Catechol-O-methyltransferase (COMT) (26). Allo stesso modo, è stato proposto che alcuni polimorfismi nel gene Actinin Alpha 3 (ACTN3), anch’esso positivamente associato al bruxismo negli adulti (27), contribuiscano all’eziologia del bruxismo anche nei bambini (28). Nel complesso, la varianza fenotipica attribuibile alla genetica è emersa decisamente elevata nei bambini (29). È stato anche dimostrato che il bruxismo è un tratto persistente: fino all’86% degli adulti con bruxismo hanno riportato di averne avuto esperienza anche durante l’infanzia (29). Inoltre, i bambini i cui genitori hanno avuto una storia positiva per il bruxismo quando erano bambini sembrerebbero avere 1,8 volte più probabilità di sviluppare il bruxismo (30).
Segni, sintomi e comorbidità
Il bruxismo è caratterizzato da una grande variabilità di segni e sintomi che non sempre vengono identificati contemporaneamente. L’usura dei denti è spesso presente nei bambini con AB e SB19, 10. I denti possono apparire alquanto piatti generalmente sulle superfici incisali e occlusali - le cosiddette faccetta di usura - con un pattern per lo più irregolare (31). Tuttavia, l’usura dei denti non è patognomonica del bruxismo in quanto potrebbe essere solo il segno di digrignamento1. I medici devono essere consapevoli della possibilità di trovarsi di fronte fratture dentali, scheggiature o crepe, fallimento di restauri, allargamento del legamento parodontale, linea alba sulla mucosa geniena, impronte dei denti sulla lingua e lesioni traumatiche(15). È risaputo che esiste una stretta relazione tra bruxismo e disturbi temporo-mandibolari (DTM) negli adulti (15). In effetti, limitazioni funzionali muscolo-scheletriche accompagnano comunemente il bruxismo: ipertrofia, indolenzimento e dolore a carico dei MMs, difficoltà ad aprire la bocca, suoni articolari e/o dolore articolare (32,15). Nonostante il numero limitato di studi, questa correlazione sembra poter essere confermata anche nei bambini e supportata da una plausibilità biologica in quanto i meccanismi del bruxismo sono in qualche modo simili sia negli adulti che nei bambini (15). I bambini con SB e AB tendono a sperimentare una maggiore frequenza di click articolari, affaticamento muscolare e difficoltà a sbadigliare rispetto ai soggetti di controllo (10). In una recente metaanalisi, è emerso che i bambini con bruxismo hanno quasi tre volte più probabilità di sviluppare DTM rispetto agli individui altrimenti sani (OR 2,97, IC 95% 1,72-5,15) (33).
Altrettanto spesso si riscontrano cefalee nei bambini con SB rispetto a soggetti altrimenti sani (10). È stato dimostrato che i bambini affetti da cefalea di tipo tensivo riportano SB molto più frequentemente rispetto ai soggetti di controllo (34). Allo stesso modo, l’emicrania è stata associata a un rischio aumentato di soffrire di disturbi del sonno nei bambini, incluso il SB (35). Tuttavia, la causa ed effetto di tale associazione è ancora dibattuta e deve essere ulteriormente chiarita.
Il SB si associa inoltre di sovente a problemi comportamentali quali il disturbo da deficit di attenzione e iperattività (ADHD), sonnolenza e scarsi risultati scolastici (36, 10). I pazienti con ADHD spesso soffrono di disturbi del sonno concomitanti, in particolare SDB (37) e vengono loro prescritti farmaci che tuttavia aumentano il rischio di SB (38). In queste occasioni è utile ricordare che il SB può essere solo un segno secondario. Tuttavia, è stata descritta una stretta connessione tra l’ADHD e altri disturbi del movimento legati al sonno, come la sindrome delle gambe senza riposo (37); per questo motivo un legame diretto tra SB e ADHD non dovrebbe essere trascurato.
L’impatto del bruxismo sulla qualità della vita dei bambini non è stato valutato in modo approfondito e sono emerse controversie. Solo uno studio ha evidenziato che il SB influisce negativamente sulla qualità della vita nei bambini (39). In particolare, l’auto percezione e l’interazione sociale sembravano essere i domini maggiormente coinvolti. Al contrario, altri autori non hanno trovato alcuna correlazione (40).
Diagnosi
La diagnosi di bruxismo è generalmente complessa e principalmente clinica. Recentemente è stato raggiunto un consenso scientifico internazionale al standardizzare l’approccio diagnostico sfruttando una combinazione di valutazioni strumentali e non (1). Sebbene più fattibili con gli adulti, regole uguali o in qualche modo simili possono essere rilevanti anche per i bambini. Tuttora lo strumento diagnostico più affidabile nei bambini è la segnalazione di digrignamento dei denti da parte di genitori o caregiver (15). Un notevole bias a tal proposito risiede nel fatto che la maggior parte dei bambini dorme lontano dai genitori in quanto è stato dimostrato che i genitori che tengono aperta la porta della camera da letto riferiscono un’incidenza di SB 1,7 volte maggiore nei loro figli rispetto a quelli che la tengono chiusa (30). Questionari o interviste dovrebbero indagare la frequenza e l’intensità di qualsiasi serramento o digrignamento dei denti, sia durante la veglia che durante il sonno. Anche i farmaci assunti e/o potenziali comorbidità, in particolare disturbi del sonno e disturbi psichiatrici, devono essere investigati accuratamente. Ai genitori potrebbe essere chiesto di tenere un diario quotidiano per monitorare il comportamento e le abitudini dei propri figli. Al colloquio orale deve essere tuttavia accompagnato un accurato esame clinico attraverso il quale i medici devono cercare lesioni sui tessuti molli - guance e lingua - e sui denti - usura e fratture. L’ipertrofia dei MMs e i DTM non dovrebbero essere assolutamente trascurati (15), così come la micrognazia, la retrognazia, la macroglossia e l’ipertrofia delle tonsille e delle adenoidi, causa del loro ruolo patogenetico nella genesi dei SDB (41). L’elettromiografia (EMG) è stata proposta come un potenziale strumento per valutare il bruxismo sia durante la veglia che durante il sonno, in questo caso integrati con registrazioni video e audio. Il razionale risiede nel fatto che i risultati dell’EMG sono in grado di mostrare un modello comportamentale plausibile dell’attività dei MMs in termini di frequenza e intensità. Nonostante ciò, esistono ancora molte domande sui cut-off e sull’effettiva interpretazione dei dati, già negli adulti (1). La scarsità di letteratura sui bambini complica ulteriormente la valutazione. Inoltre, va tenuto presente che i bambini tendono a essere poco collaborativi e reticenti a entrare nei laboratori del sonno.
Gestione
Attualmente non esistono evidenze che sostengano alcun tipo di procedura terapeutica per il bruxismo nei bambini (42). Nei bambini il bruxismo può essere considerato un comportamento che deve solo essere seguito nel tempo. Inoltre, dato che nella maggior parte dei bambini si suggerisce che il SB diminuisca progressivamente dopo l’infanzia, la gestione dovrebbe basarsi sull’identificazione della condizione sottostante. Eventuali disturbi del sonno e/o disturbi psicologici devono essere segnalati e gestiti con attenzione. Similmente, quando compaiono segni di danni alle strutture orofacciali, si raccomanda di seguire approcci conservativi.
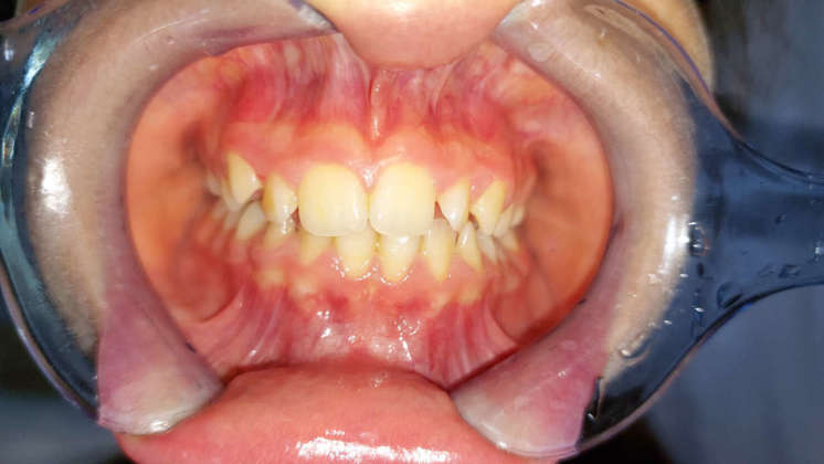
Tecniche di rilassamento psicologico e muscolare sono risultate efficaci nel ridurre i segni di bruxismo nei bambini di età inferiore ai sei anni (31), ma sfortunatamente l’educazione all’autoconsapevolezza e il biofeedback per controllare il bruxismo possono essere una sfida nei bambini. Allo stesso modo, sebbene ampiamente utilizzati per il trattamento del bruxismo negli adulti, i dispositivi orali (OA) non si sono dimostrati parimenti efficaci nei bambini (42) (Figure 1a-d). Probabilmente la causa risiede nelle preoccupazioni relative alla restrizione che si indurrebbe sulla crescita mascellare.
Nonostante ciò, nei bambini con segni e sintomi gravi di TMD, è stato recentemente suggerito l’uso di un OA con una vite di espansione centrale per consentire di seguire il normale sviluppo dei mascellari (43) (Figure 2a-c). Come sottolineato da Castroflorio T et al (19), le abitudini del sonno possono avere un ruolo rilevante nella patogenesi del bruxismo pediatrico, quindi le misure di igiene del sonno non dovrebbero essere a loro volta trascurate. Inoltre, in caso di diagnosi o sospetto di SDB, dovrebbe essere consigliato un trattamento appropriato.
Infatti, tonsillectomia e adeno-tonsillectomia sono emerse efficaci nel ridurre la frequenza di SB nei pazienti pediatrici (24, 44).
Esiste un numero limitato di prove riguardanti i farmaci usati per controllare il bruxismo. A tal proposito, l’idrossizina è risultata in grado di ridurre il bruxismo nei bambini, probabilmente aumentando la profondità del sonno, rilassando i muscoli e diminuendo l’ansia. Tuttavia, mancano studi a sostegno dell’efficacia e della sicurezza dell’idrossizina per le terapie a lungo termine nei bambini (45, 46).
Alla luce di tale scenario, è raccomandabile un approccio interdisciplinare combinato per gestire il bruxismo e le sue comorbilità nei bambini. Inoltre, la collaborazione dei genitori è inevitabile e assolutamente da ricercare.
Conclusioni
Per concludere, il bruxismo è una condizione comune durante l’infanzia, ma, nonostante ciò, diversi aspetti devono essere ulteriormente studiati. Ciò che deve rimanere al lettore con questa revisione, tuttavia, è l’evidenza che il costrutto sulla natura del bruxismo si è chiaramente spostato dalle convinzioni occlusali a un modello biopsicosociale anche nei bambini. Sonno, personalità, ansia e stress e mal di testa sono i fattori verso i quali devono essere rivolte le domande della ricerca per definire al meglio gli strumenti diagnostici e le strategie di gestione.
Bruxism in children. What do we actually know?
Bruxism is a repetitive activity of the masticatory muscles whose definition has been under revision in recent years. As in adults, there are two different forms of bruxism in children, awake and sleep bruxism. Bruxism affects 5% to 50% of the world’s pediatric population. Sleep disturbances, parafunctional habits, and psychosocial factors emerged as the factors most likely associated with pediatric bruxism. However, there is still a certain paucity of data regarding approach and management of this condition in children. The most reliable diagnostic tool remains the report of teeth grinding by the parents accompanied by an oral interview and an accurate clinical examination. There is also no evidence to support any type of therapy for bruxism in children. Management should be based on identification of the underlying condition and conservative approaches are recommended. Therefore, the current study reviews the literature on bruxism in children with the aim of outlining the state of the art on this condition.
1. Lobbezoo F, Ahlberg J, Raphael KG, Wetselaar P, Glaros AG, Kato T, Santiago V, Winocur E, De Laat A, De Leeuw R, Koyano K, Lavigne GJ, Svensson P, Manfredini D. International consensus on the assessment of bruxism: Report of a work in progress. J OralRehabil 2018;45(11):837-844. Epub 2018 Jun 21.
2. Manfredini D, Bucci MB, Bucci Sabattini V, Lobbezoo F. Bruxism: overview of current knowledge and suggestions for dental implants planning. Cranio. 2011;29:304–312.
3. Lavigne GJ, Khoury S, Abe S, Yamaguchi T, Raphael K. Bruxism physiology and pathology: an overview for clinicians. J Oral Rehabil. 2008;35:476-494.
4. Svensson P, Jadidi F, Arima T, Baad-Hansen L, Sessle BJ. Relationships between craniofacial pain and bruxism. J Oral Rehabil. 2008;35:524-547.
5. ManfrediniD, Restrepo C, Diaz-Serrano K, Winocur E, Lobbezoo F. Prevalence of sleep bruxism in children: a systematic review of the literature. J Oral Rehabil 2013 Aug;40(8):631-42.
6. Machado E, Dal-Fabbro C, Cunali PA, Kaizer OB. Prevalence of sleep bruxism in children: a systematic review. Dental Press J Orthod 2014: 19:54–61.
7. Simola P, Niskakangas M, Liukkonen K, Virkkula P, Pitkaranta A, Kirjavainen T, Aronen ET. Sleep problems and daytime tiredness in Finish preschool-aged children-a community survey. Child Care Health Dev. 2010;36:805–811.
8. Lemos Alves C, MalagoniFagundes D, Barbosa Ferreira Soares P, Coelho Ferreira M. Knowledge of parents/caregivers about bruxism in children treated at the pediatric dentistry clinic. Sleep Sci 2019;12(3):185-189.
9. Storari M, Yanez-Regonesi F, Paglia L, Viscuso D. Breastfeeding and sleep-disordered breathing in children: systematic review and proposal of underlying interaction models.Eur J Paediatr Dent 2021;22(4):314-22.
10. Carra MC, Huynh N, Morton P, Rompré PH, Papadakis A, Remise C, Lavigne GJ. Prevalence and risk factors of sleep bruxism and wake-time tooth clenching in a 7- to 17-yr-old population. Eur J Oral Sci 2011;119(5):386-94.
11. Huynh N, Guilleminault C. Sleep bruxism in children. In: Lavigne GJ., Cistulli PA., Smith MT. (Eds.), Sleep medicine for dentists. A practical overview. Quintessence Publishing Co, Inc, Chicago (IL), 125–31 2009.
12. Lam MH, Zhang J, Li AM, Wing YK. A community study of sleep bruxism in Hong Kong children: association with comorbid sleep disorders and neurobehavioral consequences. Sleep Med. 2011;12:641-645.
13. Renner AC, da Silva AA, Rodriguez JD, Simoes VM, Barbieri MA, Bettiol H et al. Are mental health problems and depression associated with bruxism in children? Community Dent Oral Epidemiol. 2012;40:277-87.
14. Liu X, Ma Y, Wang Y, Jiang Q, Rao X, Lu X et al. Brief report: an epidemiologic survey of the prevalence of sleep disorders among children aged 2 to 1 years old in Beijing, China. Pediatrics. 2005;115:266-268.
15. Manfredini D, Colonna A, Bracci A, Lobbezoo F. Bruxism: a summary of current knowledge on aetiology, assessment and management. Oral Surg 2020; 13:358-70.
16. Lavigne GJ, Huynh N, Kato T, Okura K, Adachi K, Yao D, Sessle B. Genesis of sleep bruxism: motor and autonomic-cardiac interactions. Arch Oral Biol 2007;52(4):381-4.
17. Lindqvist B. Bruxism and emotional disturbance. Odontol Revy 1972;23(2):231-42.
18. Vanderas AP, Menenakou M, Kouimtzis T, Papagiannoulis L. Urinary catecholamine levels and bruxism in children. J Oral Rehabil 1999;26(2):103-10.
19. Castroflorio T, Bargellini A, Rossini G, Cugliari G, Rainoldi A, Deregibus A. Risk factors related to sleep bruxism in children: A systematic literature review. Arch Oral Biol 2015;60(11):1618-24.
20. Rossi D, Manfredini D. Family and school environmental predictors of sleep bruxism in children. J Orofac Pain 2013;27(2):135–41.
21. Petit D, Touchette E, Tremblay RE, Boivin M, Montplaisir J. Dyssomnias and parasomnias in early childhood. Pediatrics 2007;119(5):e1016-25.
22. Ng DKK, Kwok KL, Poon G, Chau KW. Habitual snoring and sleep bruxism in a paediatric outpatient population in Hong Kong. Singapore Med J 2002 Nov;43(11):554-6.
23. Grechi TH, Trawitzki MVV, de Felício CM, Valera FCP, Alnselmo-Lima WT. Bruxism in children with nasal obstruction. Int J PediatrOtorhinolaryngol 2008;72(3):391-6.
24. DiFrancesco RC, Junqueira PAS, Trezza PM, de Faria MEJ, Frizzarini R, Zerati FE. Improvement of bruxism after T & A surgery. Int J PediatrOtorhinolaryngol 2004;68(4):441-5.
25. Vanderas AP, Manetas KJ. Relationship between malocclusion and bruxism in children and adolescents: a review. Pediatr Dent 1995;17(1):7-12.
26. Scariot R, Brunet L, Olsson B, Palinkas M, Regalo SCH, RebellatoNLB, Brancher JA, Torres CP, Diaz-Serrano KV, KüchlerEC, ZielakJC. Single nucleotide polymorphisms in dopamine receptor D2 are associated with bruxism and its circadian phenotypes in children. Cranio 2022;40(2):152-159.
27. Nicot R, Raoul G, Vieira AR, Ferri J, Sciote JJ. ACTN3 genotype influences masseter muscle characteristics and self-reported bruxism. Oral Dis2021. doi: 10.1111/odi.14075. Online ahead of print.
28. Küchler EC, Arid J, Palinkas M, Ayumi Omori M, de Lara RM, Napolitano Gonçalves LM, Hallak Regalo SC, Paes Torres Mantovani C, Rezende Vieira A, Diaz-Serrano K. Genetic Polymorphisms in ACTN3 Contribute to the Etiology of Bruxism in Children. J Clin Pediatr Dent2020;44(3):180-184.
29. Hublin C, Kaprio J, Partinen M, Koskenvuo M. Sleep bruxism based on self-report in a nationwide twin cohort. J Sleep Res 1998;7(1):61–7.
30. Cheifetz AT, Osganian SK, Allred EN, Needleman HL. Prevalence of bruxism and associated correlates in children as reported by parents. J Dent Child (Chic) 2005;72(2):67-73.
31. Restrepo C, Alvarez E, Jaramillo C, Velez C, Valencia I. Effects of psychological techniques on bruxism in children with primary teeth. J Oral Rehabil 2001;28(4):354–60.
32. Fernandes G, Franco AL, Siqueira JT, Gonçalves DA, Camparis CM. Sleep bruxism increases the risk for painful temporomandibular disorder, depression and non-specific physical symptoms. J Oral Rehabil2012;39:538–544.
33. De Oliveira Reis L, Ribeiro RA, Castro Martins C, Lopes Devito K.Association between bruxism and temporomandibular disorders in children: A systematic review and meta-analysis.Int J PaediatrDent 2019;29(5):585-595.
34. Vendrame M, Kaleyias J, Valencia I, Legido A, KothareSV.Polysomnographic findings in children with headaches. Pediatr Neurol 2008;39(1):6-11.
35. Miller VA, Palermo TM, Powers SW, Scher MS, Hershey AD.Migraine headaches and sleep disturbances in children. Headache 2003;43(4):362-8.
36. Chiang HL, Gau SS, Ni HC, et al. Association between symptoms and subtypes of attention deficit hyperactivity disorder and sleep problems/disorders. J Sleep Res 2010;19(4):535–45.
37. Walters AS, Silvestri R, Zucconi M, Chandrashekariah R, Konofal E. Review of the possible relationship and hypothetical links between attention deficit hyperactivity disorder (ADHD) and the simple sleep related movement disorders, parasomnias, hypersomnias, and circadian rhythm disorders.J Clin Sleep Med 2008;4(6):591-600.
38. Malki GA, Zawawi KH, Melis M, Hughes CV. Prevalence of bruxism in children receiving treatment for attention deficit hyperactivity disorder: a pilot study. J Clin Pediatr Dent 2004;29(1):63-7.
39. DeAlencar NA, Leão CS, Leão ATT, Luiz RR, Fonseca‐Golçalvez A, Maia LC. Sleep bruxism and anxiety impacts in quality oflife of Brazilian children and their families. J Clin Pediatr Dent 2017;41:179‐85.
40. Antunes LA, Castilho T, Marinho M, Fraga RS, Antunes LS. Childhood bruxism: related factors and impact on oral health‐related quality of life. Speci Care Dentist 2015;36:7‐12.
41. Guilleminault C, Huang YS. From oral facial dysfunction to dysmorphism and the onset of pediatric OSA. Sleep Med Rev 2018;40:203-214.
42. Restrepo C, Gomez S, Manrique R. Treatment of bruxism in children: a systematic review. Quintessence Int 2009;40(10):849-55.
43. Viscuso D, Storari M, Aprile M, Denotti G. Temporomandibular Disorders and Juvenile Idiopathic Arthritis: Scoping review with a case report. Eur J Paediatr Dent 2020;21(4):303-8.
44. Eftekharian A, Raad N, Gholami-Ghasri N. Bruxism and adenotonsillectomy. Int J PediatrOtorhinolaryngol 2008;72(4):509-11.
45. Gale CK, Millichamp J. Generalised anxiety disorder in children and adolescents. BMJ Clin Evid 2016;2016:1002.
46. Bruni O, Angriman M, Calisti F, Comandini A, Esposito G, Cortese S, Ferri R. Practitioner Review: Treatment of chronic insomnia in children and adolescents with neurodevelopmental disabilities. J Child Psychol Psychiatry 2018;59(5):489-508.
Corrispondenza: d.viscuso@libero.it


