Autori
Domenico Patarino
Odontoiatra, libero professionista a Busto Arsizio (VA)
Luana Patarino
Odontoiatra, libera professionista a Busto Arsizio (VA)
Corrispondenza: domenico.patarino@gmail.com
Abstract
Gli Autori utilizzano una metodica esclusiva di preservazione dei volumi osseo-connettivali in presenza di elementi dentari non recuperabili, quindi da estrarre.
Il protocollo chirurgico si definisce Fill & Seal perché l’alveolo estrattivo viene completamente riempito con i granuli di sostituto osseo eterologo e la parte coronale viene sigillata con più strati di membrana di derivazione dermica. A distanza di alcuni mesi il paziente viene sottoposto ad un intervento di inserimento implantare differito.
Questa metodica di ridge preservation ha evidenziato con prove istologiche un’alta prevedibilità di formazione di un connettivo sopracrestale spesso e denso e di tessuto osseo neoformato con caratteristiche di osso maturo.
Nel case report presentato, dopo l’estrazione dell’elemento fratturato 4.5 e l’intervento di preservazione alveolare, all’atto dell’inserzione dell’impianto differito, il tessuto osseo di neoformazione ha addirittura oltrepassato il bone housing dell’alveolo originario, dimostrando così le potenzialità rigenerative del protocollo chirurgico Fill & Seal.
Root extraction and alveolar preservation with “Fill & Seal” surgical method
The Authors use an exclusive method of preserving bone-connective volumes in the presence of non-recoverable dental elements, therefore requiring extraction.
The surgical protocol is defined as “Fill & Seal” because the extraction socket is filled with granules of heterologous bone substitute and the coronal part is sealed with multiple layers of dermal-derived membrane. After a few months, the patient undergoes a deferred implant insertion operation.
This Ridge Preservation method has highlighted with histological evidence a high predictability of the formation of a thick and dense supracrestal connective tissue and newly formed bone tissue with characteristics of the mature bone.
In the Case Report presented, after the extraction of the fractured element 4.5 and the alveolar preservation operation, upon insertion of the deferred implant, the newly formed bone tissue even went beyond the Bone Housing of the original alveolus, demonstrating thus the regenerative potential of the “Fill & Seal” surgical protocol.
Il recupero biologico dell’alveolo in seguito a un’estrazione dentale è stato indagato prima su modelli animali (1) e in seguito sull’uomo (2). Nel corso degli anni fino ad oggi, migliaia di articoli (più di 3.000 indicizzati su Pubmed) concordano nell’indicare che le procedure di preservazione del tessuto della cresta alveolare siano prevedibili per ottenere il mantenimento del volume osseo-connettivale dopo l’estrazione del dente (2, 3, 4).
L’inserimento differito di un impianto permette un posizionamento protesicamente guidato, assicurando un volume osseo adeguato e la presenza di tessuti molli sopracrestali spessi e densi, elementi che contribuiscono alla stabilità nel tempo dell’osso crestale.
Fondamenti biologici della guarigione dell’alveolo dopo l’estrazione
La ragione principale del cambiamento dimensionale post-estrattivo dell’alveolo risiede nella scomparsa del bundle bone o osso fascicolato (Figura 1).
Dopo l’estrazione di un dente, l’osso fascicolato non riceve più nutrimento dal legamento parodontale e viene quindi riassorbito nel giro di circa otto settimane, con un processo di rimodellamento fisiologico.
Indipendentemente dal tipo di procedura chirurgica utilizzata, il bundle bone viene sempre riassorbito; anche il posizionamento di un impianto post-estrattivo immediato non ne impedisce il riassorbimento, portando sempre a un marcato riassorbimento osseo soprattutto a livello vestibolare.
Il ruolo delle tecniche di preservazione della cresta nella prevedibilità dell’impianto
La guarigione spontanea dell’alveolo post-estrattivo comporta sempre una contrazione volumetrica verticale e orizzontale (1), situazione che può portare a evidenti problemi funzionali e/o estetici con deiscenza ossea o recessione dei tessuti gengivali che renderanno più difficoltoso il posizionamento di un impianto differito, costringendo il chirurgo ad adottare metodiche di rigenerazione ossea con maggiore morbilità per il paziente.
Le metodiche di preservazione dell'alveolo post-estrattivo compensano il fisiologico riassorbimento che avviene dopo l'estrazione.
La tecnica di ridge preservation prevede l’inserimento di un biomateriale osseo a lento riassorbimento protetto da una membrana barriera volutamente esposta, il cui razionale biologico verrà descritto nei paragrafi successivi.
La tecnica “Open Healing”
Nel 2012 Cardaropoli D et al. pubblicarono un RCT (randomized control trial) su alveoli preservati dopo l'estrazione dentaria e alveoli con guarigione spontanea (8).
Lo studio prevedeva il riempimento dell’alveolo, nei siti test, con biomateriale osseo collagenato e una membrana in collagene volutamente esposta al cavo orale. Questa tecnica induce una guarigione aperta, “Open Healing”, che da allora è stata la metodica di riferimento per numerosi altri protocolli di ridge preservation.
Negli ultimi tre anni gli Autori hanno modificato la tecnica “Open Healing” inizialmente pubblicata da Cardaropoli D. nel 2012, inserendo più strati di membrana dermica acellulare di natura eterologa per sigillare l’alveolo, con lo scopo di isolare il biomateriale osseo dal cavo orale e contemporaneamente migliorare la qualità e lo spessore dei tessuti epitelio-connettivali durante il periodo di guarigione (9, 10). La preservazione dell’altezza del tessuto connettivo perimplantare è importante poiché contribuisce a mantenere la stabilità dell’osso crestale (13, 14) e a diminuire la possibile infiammazione perimplantare (15, 16, 17).
Una mucosa spessa nel punto in cui gli impianti fuoriescono dal cavo buccale è fondamentale per l’estetica dell’impianto e la preservazione nel tempo dell’osso perimplantare (18).
Materiali e metodi
Protocollo di estrazione e preservazione dei volumi alveolari
Il protocollo chirurgico per la preservazione dell’alveolo post-estrattivo è originale degli Autori e prevede due fasi operative.
La tecnica è denominata Fill and Seal (F&S) perché nella prima parte si procede al riempimento completo ed omogeneo dell’alveolo con particolato osseo eterologo, che presenta un pattern di rimodellamento tissutale simile all’osso naturale.
Segue la sigillatura della parte coronale dell’alveolo con una membrana di derivazione dermica che oltre che avere effetto barriera induce la formazione di uno spesso strato epitelio-connettivale nella cresta preservata.
La formazione di tessuto connettivale sopracrestale, spesso e denso, è ampiamente riconosciuta dalla letteratura più recente come indispensabile per la preservazione nel tempo dell’osso crestale sottostante e migliora la prevedibilità della riabilitazione implanto-protesica (18).
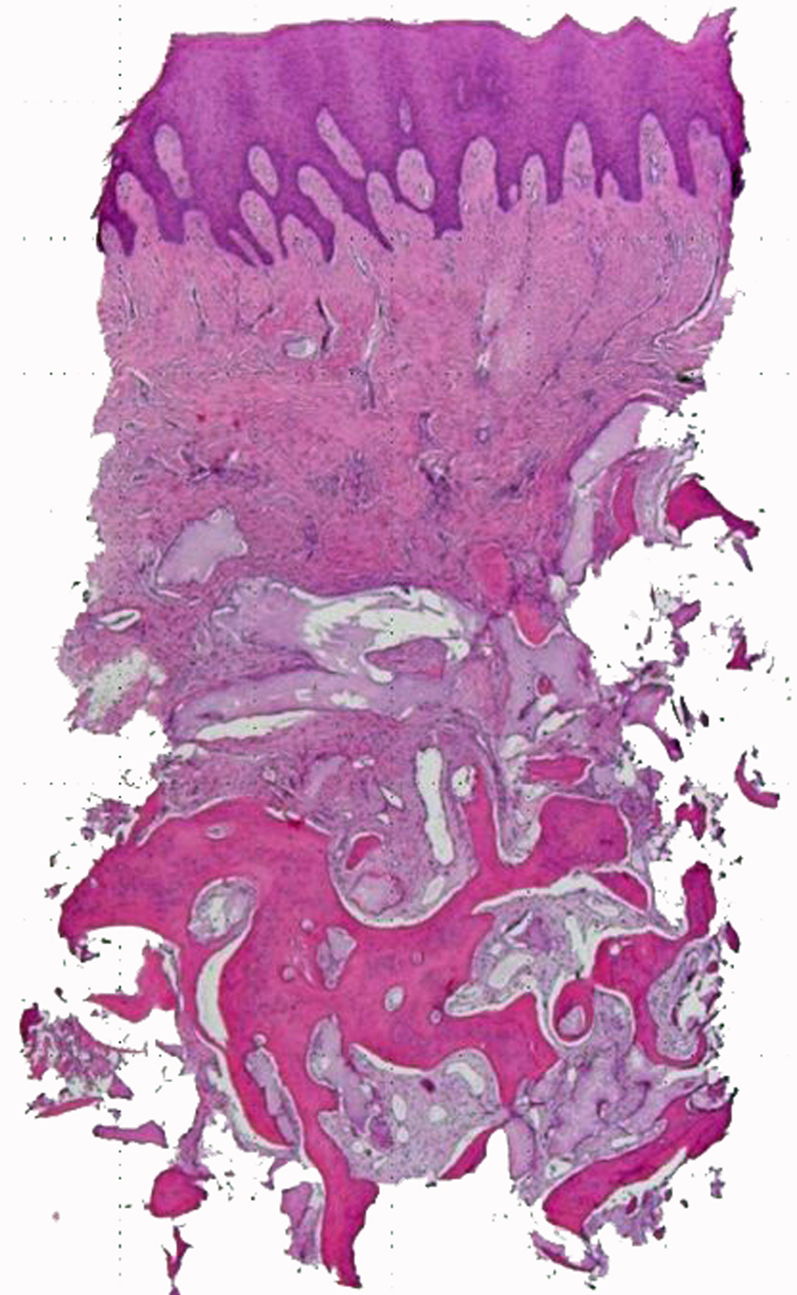
Di recente l’Autore ha pubblicato una ricerca clinica con prelievi istologici su otto casi di ridge preservation (25). Sono stati prelevati campioni osseo-connettivali che sono stati refertati dal Patologo dr. Paolo Spina del reparto di Patologia dell’Ospedale Cantonale di Locarno (CH).
I referti istologici sono stati simili in tutti i campioni esaminati: materiale costituito da mucosa squamocellulare senza atipie significative, con sottostante tessuto connettivo con moderata fibrosi, interposto con tessuto stromale comprensivo di vasi capillari e tessuto osseo con apposizione di lamelle di matrice osteoide comprendenti occasionali osteoblasti (attribuibili probabilmente a tessuto osseo neoformato) adiacenti a tessuto osseo mineralizzato (attribuibili a osso nativo ) (Figura 2).

Anche se si tratta di una coorte piccola, l’uniformità dei risultati istologici e la valutazione di “osso neoformato” e “osso nativo” , cioè tessuto osseo con un grado di maturazione non distinguibile dall’osso nativo del paziente, sono indicative della prevedibilità rigenerativa della tecnica Fill & Seal.
Caso clinico
Paziente maschio, 61 anni, non fumatore, ASA 1
Marzo 2022: estrazione elemento 4.5 e contestuale preservazione dei volumi osseo-connettivali.
Il paziente si presenta alla nostra osservazione con l’elemento dentale 4.5 fratturato in senso verticale.
La situazione clinica appare essere la seguente: 4.5 elemento di ponte protesico con 4.6 in estensione, presenza di fistola vestibolare, sondaggio di 7 mm mesiale a radice di 4.5 fratturata con fuoriuscita ematica e purulenta (Figure 3-4).


Dopo terapia causale del quadrante inferiore destro e miglioramento della situazione parodontale, si procede alla rimozione delle corone protesiche 4.5 e 4.6.
Si evidenzia chiaramente la frattura radicolare corono-apicale dell'elemento 4.5 (Figure 5-6).


Si procede pertanto all’estrazione della radice senza esecuzione di lembo muco-periosteo e nel modo più atraumatico possibile.
Estrazione con elevazione del lembo vs estrazione senza lembo
Il rialzo di un lembo, a spessore totale o parziale, consente di avere una migliore visione del campo chirurgico e può essere fondamentale, ad esempio, per l’estrazione di una radice profondamente fratturata.
I dati in letteratura indicano una perdita media di 0,4 mm di tessuto osseo nel caso di lembo a spessore parziale e di 1 mm nel caso di rialzo di lembo a tutto spessore. Ciò può avere un impatto significativo nel caso di corticale ossee vestibolari sottili.
Nobuto et al. nel 200521 hanno dimostrato come l’insufficienza circolatoria conseguente al sollevamento del lembo causasse ipossia a livello del periostio, aumento dell’attività osteoclastica e conseguente riassorbimento dell’osso alveolare.
L’atraumaticità richiesta alla tecnica estrattiva deve quindi prevedere, nel maggior numero di casi possibile, una tecnica flapless.
Dopo l’estrazione dentaria si procede a debridement completo dell’alveolo dal tessuto infiammatorio, eseguito solo con strumenti manuali, courettage del margine gengivale con fresa diamantata per rimuovere lo strato epiteliale interno e garantire un maggiore apporto di sangue all’innesto (Figura 7).

Si effettua un bone mapping con la sonda parodontale per valutare la perdita di sostanza ossea della parete vestibolare. L’entità del difetto osseo è di circa 8 mm in senso corono-apicale per 5 mm in senso mesio-distale.
In caso di frattura radicolare verticale è frequente il riscontro di deficit osseo della parete alveolare vestibolare causato dal biofilm batterico presente nella discontinuità radicolare.
Il protocollo chirurgico nella ridge preservation con una parete ossea non integra prevede l’inserimento di una membrana riassorbibile in collagene (NeoGen® Flex) all’interno dell’alveolo in maniera che faccia da barriera per le cellule epiteliali a mitosi veloce e nello stesso tempo impedisca la dislocazione vestibolare del particolato osseo eterologo innestato nell’ alveolo (Figura 8).

Preservazione del volume alveolare con tecnica “Fill & Seal”
Riempimento dell’alveolo post-estrattivo: inserimento di granuli di particolato osseo per riempire in modo omogeneo l’alveolo post-estrattivo fino al livello della cresta ossea residua22, 23. Il particolato osseo viene idratato con soluzione salina almeno 15 minuti prima dell’inserimento nell’alveolo. Due, tre minuti prima dell’inserimento nella cavità, alcune gocce di sangue del paziente vengono aggiunte al particolato osseo per impregnare i granuli (prima fase, riempimento dell’alveolo post-estrattivo: FILL).
Sigillatura dell’alveolo post-estrattivo: sigillatura dell’alveolo con due strati di NeoGen® Collagen Firm, sagomati per adattarsi alla forma dell’alveolo e sovrapposti uno sull’altro per coprire perfettamente l’innesto osseo sottostante (Figura 9).

La completa sigillatura dell’alveolo viene perfezionata mediante la sutura Hidden X24 dei bordi gengivali dell’alveolo in modo che si introflettano sulla membrana dermica.
Coronalmente alla Firm viene inserita una medicazione al collagene Neogen Foam a protezione del sigillo dermico (seconda fase, sigillatura dell’alveolo post-estrattivo: SEAL) (Figure 10-11).


Dopo la rimozione della sutura normalmente si procede con un piano di mantenimento parodontale e di controllo sino a completa integrazione del graft osseo, ma il paziente, a soli 25 giorni dall’intervento di preservazione alveolare in posizione 4.5, richiede l’inserimento di un impianto in posizione 4.6.
Questa situazione, anche se non prevista dal piano di trattamento iniziale, consente di valutare clinicamente a cielo aperto il pattern di guarigione ossea e connettivale nel primo mese dopo l’intervento rigenerativo post-estrattivo (Figura 12).

Dopo aver inciso un lembo mucoperiosteo senza incisioni di scarico verticali, si vede la zona oggetto di estrazione omogeneamente riempita da tessuto osteoide in fase di maturazione.
Una gran parte della membrana riassorbibile posta all’interno dell’alveolo è ancora ben evidente e adesa al tessuto in fase di maturazione.
Viene inserito un impianto osteointegrato Neoss Edge 5.0 x 9 mm in posizione 4.6 (Figure 13-14).


Prima di procedere con la sutura del lembo viene posizionata una membrana riassorbibile in collagene NeoGen® Flex per consentire la stabilizzazione dell’osso crestale e una miglior maturazione del particolato in fase di integrazione ossea. Si esegue una sutura a punti staccati (Figure 15-17).



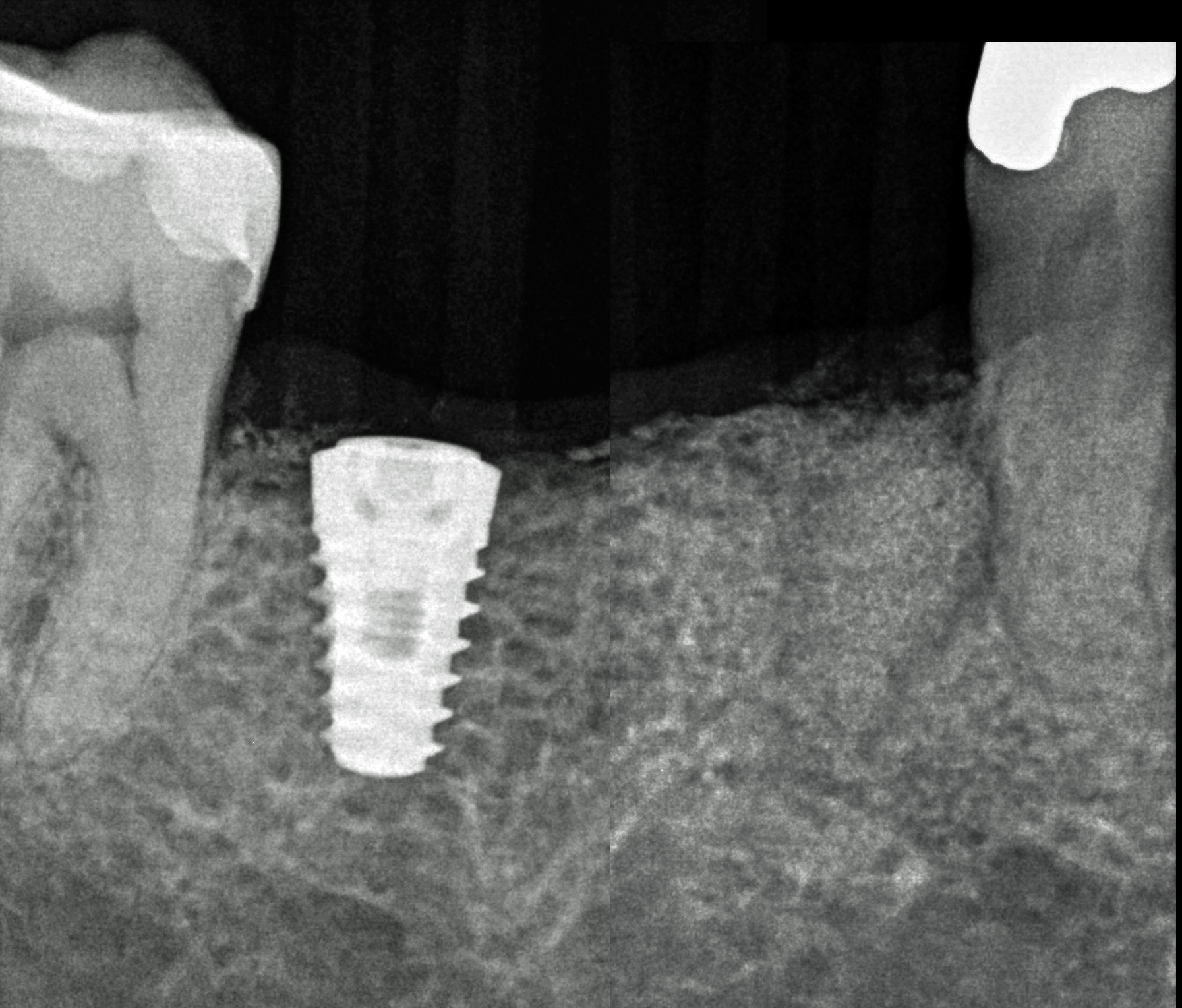
Dopo sei mesi dall’intervento di preservazione alveolare si inserisce un impianto differito in posizione 4.5.
Dopo esecuzione di lembo mucoperiosteo con una incisione di prolungamento mesiale a preservazione papillare, si osserva la presenza di tessuto osseo compatto in posizione premolare.
La corticale vestibolare e crestale non è ancora completamente formata, ma la visione in senso occlusale mostra come il tessuto osseo, che è ancora in fase di mineralizzazione, sia oltre il limite del bone housing dell’alveolo originario.
Si è ottenuta una preservazione del volume osseo oltre il 100% (Figure 18-19).


Il tunnel implantare è molto vascolarizzato. Viene inserito un impianto Neoss Tapered 4,5x11 mm, bone level, con torque di inserimento di 60 Ncm e ISQ 75 (Figure 20-22).



Dopo ulteriori quattro mesi si può procedere con l’ultima fase chirurgica di scopertura delle due fixture e di inserimento di abutment definitivi personalizzati.
Dopo l’apertura del lembo di accesso si evidenzia tessuto osseo corticalizzato anche nella zona vestibolare e crestale di 4.5. La visione occlusale consente di apprezzare la ricrescita ossea coronale alla vite tappo della fixture in 4.5 e del tessuto osseo vestibolare rispetto al bone housing. La misurazione ISQ di 4.5 restituisce l’alto valore di 86 (Figure 23-24).


Vengono inseriti due abutment protesici in titanio personalizzati con tecnica di preparazione verticale e una matrice eterologa di natura dermica (Osteobiol® Derma 2 mm) viene inserita a ponte sui due abutment per consentire di avere maggior tessuto cheratinizzato perimplantare. La sutura a punti staccati lascerà guarire una parte della matrice dermica per seconda intenzione (Figure 25-26).


Dopo circa sei settimane si è formata una ampia banda di tessuto cheratinizzato perimplantare che facilita una adeguata igiene orale e da protezione al tessuto osseo sottostante (Figure 27-28).


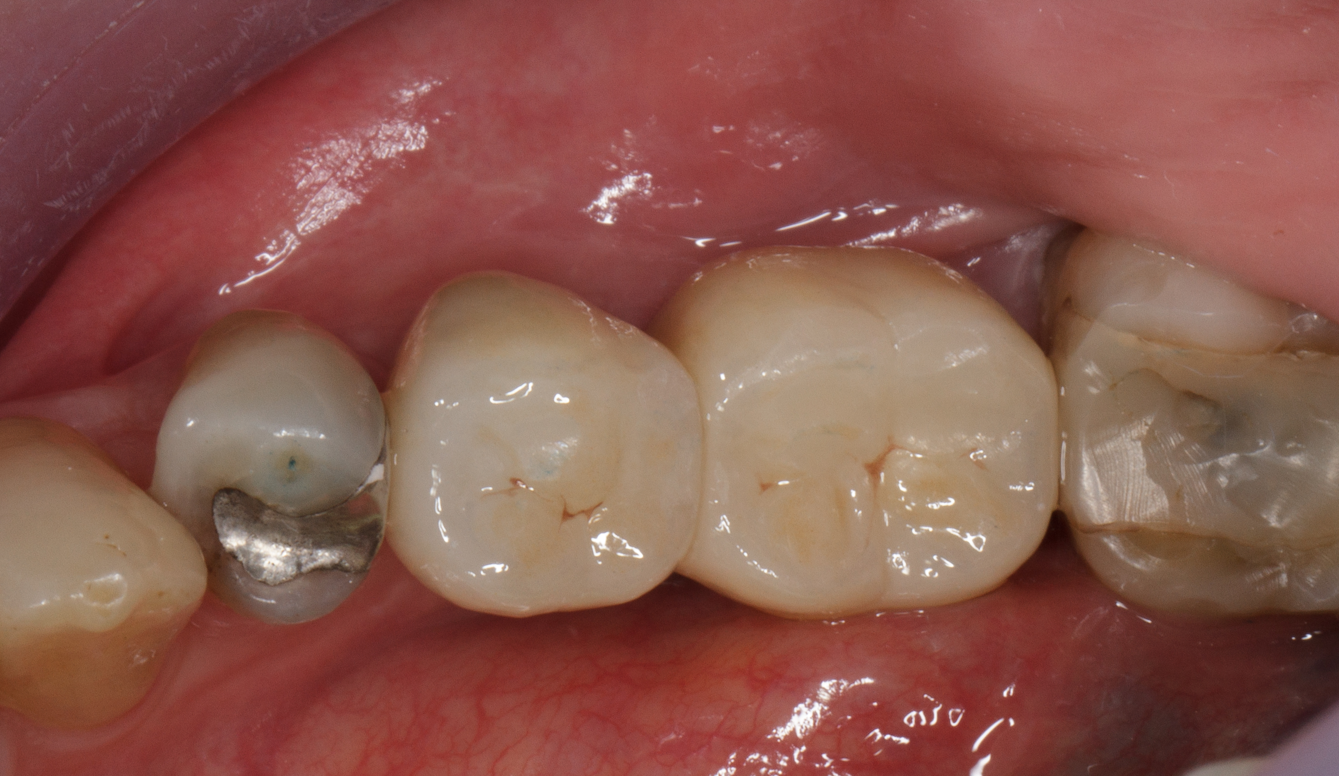
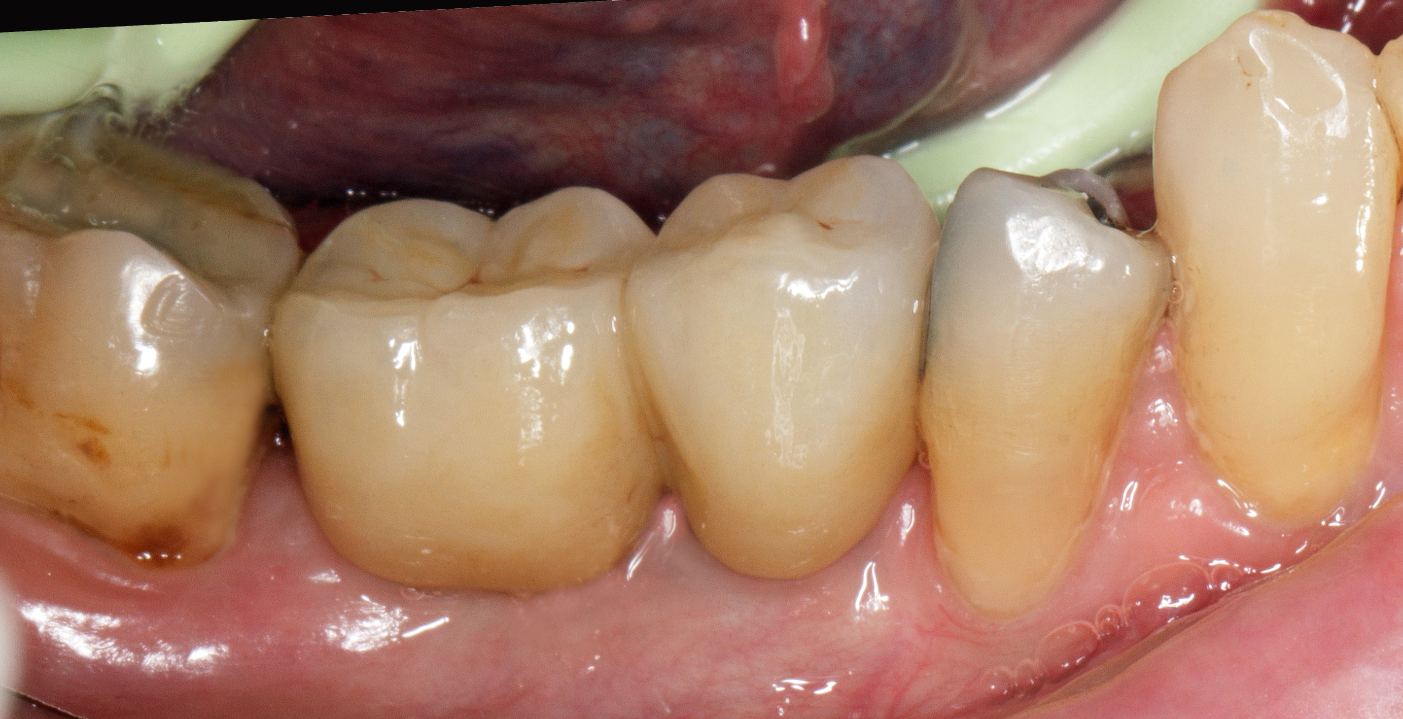
Vengono cementate due corone in zirconio stratificato (Figura 29). Il controllo clinico e radiografico dopo 18 mesi mostra la buona risposta dei tessuti gengivali e la stabilità ossea perimplantare (Figure 30-31).



Discussione
Tecniche di ridge preservation a lembo aperto o flapless
L’evidenza scientifica è concorde nell’indicare come le metodiche di preservazione del volume alveolare post-estrattivo possano compensare la fisiologica contrazione ossea e connettivale del sito edentulo.
Negli ultimi 20 anni sono state proposte numerose tecniche chirurgiche che possono avvalersi o meno di:
- materiali da innesto autologhi, allogenici (FDBA and DFDBA), xenogenici (bovino or suino), alloplastici (hydroxyapatite, tricalcium phosphate, bioactive glass);
- concentrati piastrinici, fattori di crescita;
- membrane riassorbibili o non riassorbibili;
- lamina corticale;
- matrici dermiche;
- innesti connettivali.
Le tecniche di preservazione crestale possono essere effettuate con o senza sollevamento di un lembo mucoperiosteo.
Ciò che accomuna tutte le tecniche è la necessità di effettuare l’estrazione in maniera meno traumatica possibile, in modo da preservare l’alveolo postestrattivo e di garantire la stabilità del coagulo.
In una revisione sistematica del 2009 di Darby et al.26, sono stati valutati nove diversi metodi di ridge preservation: tutte prevedevano il sollevamento di un lembo. Dalle conclusioni dello studio emergeva anche che la chiusura per prima intenzione non era necessaria al successo della tecnica, dato che i risultati tra i diversi metodi erano sovrapponibili.
Nel 2012 Cardaropoli et al.8 pubblicarono una RCT in cui la preservazione dell’alveolo postestrattivo veniva effettuata con tecnica flapless e con inserimento di biomateriale osseo collagenato coperto da una membrana in collagene intenzionalmente esposta. La tecnica di guarigione Open Healing diede il via allo sviluppo di molte altre metodiche di preservazione alveolare senza sollevamento di lembo e quindi con minor traumaticità biologica.
Nel 2014 Tarnow27 ha ideato una tecnica di ridge preservation senza sollevamento di lembo nota come ice cream cone technique, letteralmente “tecnica del cono gelato”.
La tecnica venne utilizzata per la gestione di alveoli postestrattivi in cui la parete ossea vestibolare non era integra. Essa si avvale di una membrana riassorbibile in collagene ripiegata a formare un cono e inserita nell’alveolo post-estrattivo, in cui viene successivamente posto un innesto di FDBA. Barone et al. nel 201428 avevano mostrato come la procedura flapless, confrontata con una tecnica con sollevamento di un lembo a tutto spessore, portasse a una riduzione del riassorbimento osseo soprattutto in senso orizzontale.
Confronto operativo tra le principali tecniche di ridge preservation
Da un punto di vista esclusivamente pratico gli Autori hanno riassunto schematicamente i protocolli flapless più utilizzati per la ridge preservation dell’alveolo post estrattivo:
- inserimento di biomateriale osseo a lento riassorbimento e membrana riassorbibile in collagene esposta (A);
- inserimento di biomateriale osseo a lento riassorbimento e membrana non riassorbibile in d-PTFE esposta (B);
- inserimento di solo biomateriale osseo a lento riassorbimento e guarigione per seconda intenzione (C);
- inserimento di biomateriale osseo a lento riassorbimento e connettivo prelevato dal palato o dal tuber (D);
- inserimento di biomateriale osseo a lento riassorbimento e matrice dermica Mucograft® (E);
- inserimento di biomateriale osseo a lento riassorbimento e matrice dermica Derma® (F);
- inserimento di biomateriale osseo a lento riassorbimento e matrice dermica Mucoderm® (G);
- inserimento di biomateriale osseo a pattern di riassorbimento simile all’osso umano e vari strati di membrana di derivazione dermica, matrice in collagene a protezione crestale (tecnica Fill & Seal) (H).
A livello di operatività clinica la Tabella 1 riassume le analogie e le differenze tra le varie tecniche chirurgiche.
L’inserimento di un impianto differito avviene spesso con tecnica flapless oppure a minima invasività chirurgica, in tessuto cheratinizzato e con volumi ossei congrui per assicurare nel tempo la stabilità dell’osso crestale perimplantare.
Qualora vi sia una frattura verticale del dente o della radice da estrarre, il fronte di avanzamento della lisi ossea, conseguente alla presenza dei batteri all’interno della rima di frattura, può portare a perdita anche di ampie porzioni della corticale alveolare vestibolare, data la sua sottigliezza. Le necessità rigenerative in questi casi diventano più complesse arrivando a tecniche tipiche della GBR.
Vantaggi della tecnica “Fill & Seal”
Il protocollo chirurgico Fill & Seal è una evoluzione della tecnica Open Healing pubblicata nel 2012 da D. Cardaropoli e soddisfa il principio PASS per la prevedibilità della rigenerazione ossea (20).
La guarigione aperta della parte crestale alveolare porta alla formazione di tessuto cheratinizzato e la naturale posizione del margine gengivale rimane intatta.
La membrana di origine dermica intenzionalmente esposta contribuisce alla formazione di uno strato di connettivo sopracrestale denso e spesso (valutato anche da prelievi istologici) (25).
Il sigillo del biomateriale eterologo all’interno delle pareti alveolari induce un microambiente favorevole ai processi di guarigione e neoformazione ossea.
Nel caso di un alveolo dentario con mancata integrità della parete ossea vestibolare la gestione è più semplice della tecnica di Tarnow del 201427 in quanto è semplicemente necessario inserire un ritaglio di membrana riassorbibile in collagene in maniera da adattarsi alle pareti ossee residue.
Nel caso presentato l’opportunità di avere effettuato un rientro chirurgico a un mese dall’estrazione della radice di 4.5 ha permesso la visione diretta nell’umano del pattern di guarigione indotto dalla tecnica nelle prime settimane.
I successivi rientri chirurgici a sei e 10 mesi hanno consentito di valutare come la rigenerazione tissutale di tutta la componente ossea midollare e successivamente della componente corticale fosse addirittura in esubero rispetto al volume alveolare originale pre-estrattivo.
L’impianto differito è stato inserito in una situazione biologicamente positiva per la prevedibilità nel tempo della riabilitazione protesica implanto supportata.
2. Hämmerle CH, Araújo MG, Simion M; Osteology Consensus Group 2011. Evidence-based knowledge on the biology and treatment of extraction sockets. Clin Oral Implants Res. 2012;23(Suppl 5):80-82.
3. Avila-Ortiz G, Elangovan S, Kramer KW, Blanchette D, Dawson DV. Effect of alveolar ridge preservation after tooth extraction: a systematic review and meta-analysis. J Dent Res. 2012;93(10):950-958.
4. Avila-Ortiz G, Chambrone L, Vignoletti F. Effect of alveolar ridge preservation interventions following tooth extraction: a systematic review and meta-analysis. J Clin Periodontol. 2019;46(Suppl 21):195-223.
5. Cardaropoli G, Araújo M, Lindhe J. Dynamics of bone tissue formation in tooth extraction sites: an experimental study in dogs. J Clin Periodontol. 2003;30(9):809-818.
6. Araújo MG, Wennström JL, Lindhe J. Modeling of the buccal and lingual bone walls of fresh extraction sites following implant installation. Clin Oral Implants Res. 2006;17(6):606-614.
7. Cardaropoli D, Casentini P. Guarigione spontanea dell’alveolo post-estrattivo e rimodellamento della cresta alveolare. In: Tessuti molli ed estetica rosa in terapia. Quintessence Publishing Italia; 2018:46-73.
8. Cardaropoli D, Tamagnone L, Roffredo A, Gaveglio L, Cardaropoli G. Socket preservation using bovine bone mineral and collagen membrane: a randomized controlled clinical trial with histologic analysis. Int J Periodontics Restorative Dent. 2012;32(4):421-430.
9. Patarino D. Socket preservation nel settore frontale per ottenere estetica e funzione. Il Dentista Moderno. Aprile 2021;70-75.
10. Patarino D. Preservazione dei volumi alveolari dopo estrazione di premolare fratturato ed inserimento di impianto differito. Il Dentista Moderno. Febbraio 2022;68-72.
11. Linkevicius T, Apse P, Grybauskas S, Puisys A. The influence of soft tissue thickness on crestal bone changes around implants: a 1-year prospective controlled clinical trial. Int J Oral Maxillofac Implants. 2009;24(4):712-719.
12. Sicilia A, Quirynen M, Fontolliet A, et al. Long-term stability of peri-implant tissues after bone or soft tissue augmentation. Effect of zirconia or titanium abutments on peri-implant soft tissues. Summary and consensus statements. Clin Oral Implants Res. 2015;26(Suppl 11):148-152.
13. Puisys A, Linkevicius T. The influence of mucosal tissue thickening on crestal bone stability around bone-level implants: a prospective controlled clinical trial. Clin Oral Implants Res. 2015;26(2):123-129.
14. Linkevicius T, Linkevicius R, Alkimavicius J, Linkeviciene L, Andrjauskas P, Puisys A. Influence of titanium base, lithium disilicate restoration and vertical soft tissue thickness on bone stability around triangular-shaped implants: a prospective clinical trial. Clin Oral Implants Res. 2018;29(7):716-724.
15. Lin GH, Chan HL, Wang HL. The significance of keratinized mucosa on implant health: a systematic review. J Periodontol. 2013;84(12):1755-1767.
16. Monje A, Blasi G. Significance of keratinized mucosa/gingiva on peri-implant and adjacent periodontal conditions in erratic maintenance compliers. J Periodontol. 2019;90(5):445-453.
17. Manopattanasoontorn S, Sophon N, Tangsathian T, Arunyanak SP. The lack of keratinized mucosa is associated with poor peri-implant tissue health: a cross-sectional study. Int J Implant Dent. 2020;6(1):28.
18. Cardaropoli D, Casentini P. Quality and Quantity of Peri-implant Soft Tissue. In: Soft Tissues & Pink Esthetics in Implant Therapy. Quintessence Publishing Co.; 2019:2-27.
19. Kitazawa T, Takai H, Kono T, Okada H, Ogata Y. Carbonate apatite increases gene expression of osterix and bone morphogenetic protein 2 in the alveolar ridge after socket grafting. J Oral Sci. 2024;66(1):15-19.
20. Wang HL, Boyapati L. “PASS” principles for predictable bone regeneration. Implant Dent. 2006;15(1):8-17.





