Riassunto
Il lavoro presenta un caso clinico di sequele post-traumatiche a carico di 11 e 21 in un paziente maschio di 11 anni di età, in seguito ad avulsione traumatica dei corrispondenti 51 e 61 accorsa all’età di 3 anni. Il dente 21 è poi erotto con un ritardo di 2 anni mentre è esitata l’inclusione di 11. All’esame obiettivo si poteva osservare l’assenza in arcata dell’elemento permanente 11, una tumefazione dura palpabile nella porzione vestibolare della cresta a un’altezza corrispondente agli apici dei denti contigui, nonché l’atrofia ossea crestale e la perdita di spazio M-D in sede 11. Le indagini radiografiche hanno fatto emergere una chiara indicazione all’avulsione di 11. Durante l’intervento eseguito in narcosi si è potuta osservare la dilacerazione e la grave malformazione della radice che ha reso necessaria l’avulsione dell’elemento. Solo adesso potrà quindi essere finalizzata la pratica assicurativa sporta 8 anni fa, dal momento che la riabilitazione del paziente rende ora necessari il recupero ortodontico e il mantenimento dello spazio in arcata, l’innesto osseo in sede 11 e la successiva riabilitazione implantare di una zona esteticamente significativa.
Summary
This article describes a clinical case of post injury sequelae which affected 11 and 21, in a 11-years old male patient, after a traumatic exarticulation of corresponding 51 and 61 that occurred when he was 3 years old. Successively, tooth 21 erupted with a 2-years delay whilst tooth 11 turned out to be included. A clinical examination made it possible to see the unoccurred eruption of the permanent tooth 11 on the dental arch, a hard palpable tumefaction on the vestibule portion of the bone crest at a height corresponding to the apices of the contiguous teeth as well as the crest bone atrophy and the loss of the space M-D in zone 11. Radiographic investigations clearly showed the avulsion of 11. The surgical operation in narcosis showed the laceration and the severe root malformation which made the avulsion of 11 necessary. Only now it will be possible to complete the insurance claim filed 8 years ago, as the patient’s rehabilitation makes it necessary to carry out an orthodontic rescue and the space maintenance in the dental arch, the bone inoculation in the area of 11 and the subsequent implant rehabilitation of a significant aesthetic zone.
Le lesioni traumatiche a carico dei denti decidui sono un fenomeno estremamente frequente, che la letteratura rivela interessare dal 15 al 30% degli individui in età pediatrica, tanto da farne, insieme alla patologia cariosa, la più comune causa di ricorso alle cure odontoiatriche per tale fascia della popolazione1-4. Le cause più frequenti di traumi dentali sono rappresentate dal gioco (56%), dalle attività sportive (21%), da incidenti della strada (11%) e da atti di violenza (12%)5; l’età più colpita è quella compresa tra 18 e 30 mesi, che coincide cioè con l’inizio della deambulazione: la caduta è infatti la causa più frequente di trauma oro-facciale in entrambi i sessi1, 6, 7 e i soggetti più colpiti sono di sesso maschile (con rapporto di 2:1).
Gli elementi dentali più spesso interessati sono gli incisivi centrali superiori (50%) e laterali superiori (30%)5. Un trauma a carico di un dente deciduo può avere gravi conseguenze sullo sviluppo del permanente corrispondente. Le anomalie di sviluppo dei permanenti secondarie a traumi sui corrispondenti elementi primari hanno infatti una prevalenza che varia dal 12 al 74%; un fattore rilevante in questa elevata prevalenza risiede nello stretto rapporto anatomico tra l’apice dei denti decidui e il germe dei corrispondenti successori permanenti8-11. Si calcola infatti che la distanza tra l’apice dell’incisivo centrale deciduo e il margine incisale dell’incisivo centrale permanente vada da 2,97 mm all’età di 3 anni a 1,97 mm all’età di 6 anni12. La gravità delle sequele a carico dei denti permanenti dipende da diversi fattori (tabella 1)17,18.
La formazione dei germi degli incisivi centrali e laterali superiori permanenti comincia a 20 settimane di gestazione, mentre la loro calcificazione inizia rispettivamente a 3-4 mesi di vita per i centrali e a 10-12 mesi per i laterali7, 13. In assoluto, le tipologie di trauma che più spesso comportano sequele a carico dei permanenti sono l’intrusione e l’avulsione (o exarticolazione) dei predecessori decidui. Le sequele a carico dei permanenti possono includere diversi eventi (tabella 2)8-11, 14-16.
Da quanto sin qui riportato emerge come l’approccio dell’odontoiatra sia complesso e delicato: la massima urgenza è spesso determinante per il risultato terapeutico. Si richiedono un’accurata anamnesi e un rigoroso esame obiettivo (ben riportati in una cartella apposita per i traumi), esami radiografici e fotografici precisi e specifici per giungere a una diagnosi corretta e al più idoneo piano di trattamento interdisciplinare. Il monitoraggio del caso sarà fondamentale anche perché tutti i traumi necessiteranno poi di un’adeguata e circostanziata relazione medico-legale per il risarcimento dei danni non solo materiali, ma anche estetici e biologici.
Presentazione del caso clinico
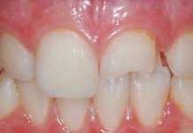
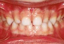
Il paziente L.R., maschio di 11 anni di età, è giunto all’attenzione del reparto di odontoiatria infantile del nostro Istituto per l’assenza in arcata dell’elemento 11 che avrebbe dovuto erompere già a 6-7 anni. Un’accurata anamnesi ha permesso di escludere patologie generali o allergie specifiche. Dall’anamnesi viene poi rilevato che il paziente ha subito un trauma oro-facciale all’età di 3 anni, e precisamente una caduta avvenuta in ambiente scolastico che ha provocato la exarticolazione di 51 e 61. L’elemento 21 è poi erotto con 2 anni di ritardo. Una denuncia era stata sporta all’assicurazione scolastica per il risarcimento del danno biologico ed estetico. L’unico danno constatabile al momento del trauma e testimoniato dal referto del pronto soccorso consisteva appunto nella perdita dei due incisivi centrali decidui. Si è deciso pertanto di lasciare aperta la pratica nonostante le pressioni contrarie esercitate dalla compagnia assicuratrice al fine di valutare in futuro le eventuali sequele dell’incidente. L’esame obiettivo ha mostrato l’avvenuta permuta di 52, 61 e 62 e l’assenza in arcata di 11 con conseguente riduzione dello spazio M-D causata dalla migrazione dei denti contigui (figura 1).

A livello del fornice vestibolare in regione 11 era inoltre palpabile una tumefazione dura sottostante la mucosa alveolare peraltro normotrofica e normocromica. Lo studio del caso si è avvalso delle necessarie indagini radiografiche e cioè di ortopantomografia, di radiografia occlusale del palato e di T.C. volumetrica con DENTASCAN dell’arcata superiore (figure 2-4).
Questi esami hanno rivelato la posizione ectopica di 11, la cui corona era rivolta in alto e in avanti in sede vestibolare, e la situazione più palatale della radice con conformazione curvilinea fortemente accentuata. Si decide per l’avulsione di 11 incluso dopo aver consultato lo specialista in ortodonzia che ha escluso la possibilità di un suo recupero ortodontico in arcata. L’intervento viene eseguito in anestesia generale in regime di day-surgery.



Descrizione dell’intervento
Scolpito un lembo triangolare con incisione intrasulculare da 53 a 63 e incisione di svincolo distale a 53, si procede a scheletrizzazione della regione crestale vestibolare sino a esporre completamente la tumefazione corrispondente alla corona di 11 e identificando contemporaneamente la spina nasale anteriore e la mucosa nasale. Si rende così evidente anche l’atrofia ossea crestale dovuta alla mancata eruzione dell’elemento (figura 5).

Inciso e rimosso in parte il sacco pericoronario e sottili lamine ossee corticali che coprivano ancora parzialmente la corona, si evidenzia la faccia palatale dell’elemento (figura 6): il trauma subito dal deciduo è stato trasmesso dalla sua radice, che a 3 anni è completamente formata (come testimoniato dalla tabella contenuta in figura 7), alla corona di 11, anch’essa in quel periodo quasi interamente formata (come indicato dalla tabella in figura 8), tanto da farne ruotare l’asse longitudinale di oltre 100° in alto e in avanti rispetto all’asse del 12 non traumatizzato.



L’impatto ha influito anche severamente sullo sviluppo della radice di 11, che si stava compiendo in quel periodo, determinandone la dilacerazione con conseguente ipoplasia e marcata curvatura, tanto che l’apice di 11 è quasi coassiale a quello di 12 benché marcatamente dislocato in sede più palatale. Questi elementi hanno fatto chiaramente propendere per l’avulsione di 11, eseguita in modo conservativo mediante leva dritta di Bein previa ostectomia pericoronale effettuata con fresa a rosetta su manipolo dritto.
Procedendo con estrema cautela è stato possibile preservare un sottile ponte osseo in sede vestibolo-crestale per prevenire la deiscenza del lembo mucoso e un’ulteriore perdita di quote ossee (figure 9-12).


La cavità residua è stata lavata con soluzione fisiologica e dopo aver controllato l’emostasi si è proceduto ad accurata sutura con filo riassorbibile Vycril 3-0. Il piano di trattamento per la riabilitazione del giovane paziente è così definito: per prima cosa la terapia ortodontica per recuperare lo spazio in arcata per la corona di 11, che dovrà poi essere mantenuto mediante apposito presidio protesico quale un apparecchio rimovibile in resina con ganci o un Maryland Bridge fino all’età di 18 anni, quando presumibilmente si considerano esaurite le potenzialità di crescita delle ossa mascellari.


Solo allora potrà essere trattata l’atrofia crestale mediante innesto osseo a onlay prelevato dal ramo mandibolare, e successivamente verrà inserito un impianto in regione 11. Se sarà necessario, si potrà recuperare il trofismo perduto dai tessuti molli mediante un idoneo innesto di tessuto connettivo prelevato dal palato.
Dal punto di vista medico-legale, la documentazione del caso trattato in Istituto va a integrare la pratica assicurativa aperta all’epoca dell’incidente e risulta evidente come le sequele del trauma abbiano decisamente complicato la prognosi (tabelle 3 e 4).
In seguito a ogni trauma che interessi i denti decidui, è quindi dovere dell’odontoiatra sia prestare le dovute cure d’urgenza, sia informare e motivare i genitori a un attento monitoraggio dello sviluppo dento-facciale del piccolo paziente, consigliando loro una valutazione a lungo termine del danno subito.
Corrispondenza - Correspondence
Luigi Paglia
Istituto Stomatologico Italiano
via Pace, 21 - 20122 Milano
Tel. 02 54176233
• Flor Maria Ghielmi*
• Luca Ginocchio**
• Luigi Paglia*
Istituto Stomatologico Italiano,
*Reparto di Odontoiatria Infantile,
**Reparto di Parodontologia e Implantologia
1. Flores MT. Traumatic injuries in the primary dentition. Dent Traumatol 2002;18(6):287-98.
2. Garcìa-Godoy F, Morbàn-Laucer F, Corominas LR, Franjul RA, Noyola M. Traumatic dental injuries in preschool children from Santo Domingo. Community Dent Oral Epidemiol 1983;11(2):127-30.
3. Skaare AB, Jacobsen I. Primary tooth injuries in Norwegian children (1-8 years). Dent Traumatol 2005;21(6):315-9.
4. Canoglu E, Akcan CA, Baharoglu E, Gungor HC, Cehreli ZC. Unusual ectopic eruption of a permanent central incisor following an intrusion injury to the primary tooth. J Can Dent Assoc. 2008 Oct;74(8):723-6.
5. Sfondrini G, Giorgetti R, Sfondrini MF, Saggese R, Caprioglio D. Odontoiatria per il pediatra. Pisa: Pacini Editore, 2007.
6. Osuji OO. Traumatised primary teeth in Nigerian children attending University Hospital: the consequences of delays in seeking treatment. Int Dent J 1996;46:165-70.
7. Ak AT, Eden E, Tasdemir OO. Treatment of sequelae in permanent dentition after severe trauma in primary dentition. Dent Traumatol 2008 Oct;24(5):e31-3. Epub 2008 Jun 28.
8. Ben-Bassat Y, Brin I, Fuks A, Zilberman Y. Effect of trauma to the primary incisor on their permanent successors in different developmental stages. Pediatr Dent 1985; 7:37-40.
9. Diab M, Elbadrawy HE. Intrusion injuries of primary incisors. Part III: Effects on the permanent sucessors. Quintessence Int 2000;31:377-84.
10. Von Arx T. Developmental disturbances of permanent teeth following trauma to the primary dentition. Aust Dent J 1993;38:1-10.
11. Do Espírito Santo Jácomo DR, Campos V. Prevalence of sequelae in the permanent anterior teeth after trauma in their predecessors: a longitudinal study of 8 years. Dent Traumatol. 2009 Jun;25(3):300-4. Epub 2009 Feb 27.
12. Smith RJ, Rapp R. A cephalometric study of the developmental relationship between primary and permanent maxillary central incisor teeth. J Dent Child 1980;47:36-41.
13. Mc Donald RE, Avery DR. Dentistry for the child and adolescent, 5th edn. St Louis: The C.V. Mosby Company, 1987, p.190-1.
14. Ben-Bassat Y, Brin I, Zilberman Y. Effects of trauma to the primary incisors on their permanent successors: multidisciplinary treatment. ASDC J Dent Child 1989;56:112-6.
15. Andreasen JO, Ravn JJ. The effect of traumatic injuries to primary teeth on their permanent successors II. A clinical and radiographic follow-up study of 213 teeth. Scand J Dent Res 1971;79:284-94.
16. Tüzüner T, Kuşgöz A, Nur BG. Temporary management of permanent central incisors loss caused by trauma in primary dentition with natural crowns: a case report. Dent Traumatol 2009 Oct;25(5):522-6. Epub 2009 Jun 1.
17. Mello-Moura A, Bonini G, Suga SS, Navarro RS, Wanderley MT. Multidisciplinary approach on rehabilitation of primary teeth traumatism repercussion on the permanent successor: 6-year follow-up case report. J Indian Soc Pedod Prev Dent 2009;27:125-30.
18. Caprioglio D, Manna A, Paglia L. Manuale di traumatologia dento-alveolare. Milano: Ed. Ciba 1996.







