La chirurgia guidata rappresenta una delle innovazioni più significative nell’ambito della chirurgia odontoiatrica, offrendo precisione, sicurezza e predicibilità nei trattamenti implantari.
Questo approccio si basa sull’utilizzo di software avanzati per la pianificazione digitale del posizionamento degli impianti, consentendo ai professionisti di visualizzare in dettaglio l’anatomia del paziente prima dell’intervento.
Uno dei principali vantaggi dell’implantologia guidata è la riduzione del margine di errore. Grazie alle immagini radiografiche tridimensionali, il chirurgo può individuare con precisione la posizione ideale per l’impianto, evitando strutture anatomiche critiche come nervi, vasi e seno mascellare. Ciò riduce il rischio di complicanze post-operatorie e garantisce un’integrazione ottimale dell’impianto nell’osso.
Inoltre, la pianificazione digitale consente di scegliere il tipo di impianto più adatto in base alla qualità e quantità dell’osso disponibile. Questo è particolarmente utile nei casi di riassorbimento osseo, dove l’implantologia tradizionale potrebbe presentare difficoltà. L’uso di guide chirurgiche stampate in 3D permette poi di trasferire il piano di trattamento dal computer alla realtà clinica con estrema fedeltà.
Un'ulteriore evoluzione nell’implantologia guidata è rappresentata dall’uso degli scanner intraorali e degli scanner facciali. Gli scanner intraorali consentono di ottenere impronte digitali estremamente precise, eliminando la necessità di materiali da impronta tradizionali, riducendo il disagio per il paziente e migliorando l’accuratezza del workflow digitale. Gli scanner facciali, invece, permettono di acquisire la morfologia del volto del paziente, integrando i dati anatomici con quelli dentali. Questo aspetto è fondamentale per la progettazione della protesi in relazione all’estetica del viso, garantendo risultati armonici e naturali.
Altro aspetto fondamentale nell’ottimizzazione degli impianti è l’uso di impianti con MUA (Multi-Unit Abutment) integrato. Questo sistema offre numerosi vantaggi sia dal punto di vista biologico che meccanico. La presenza del MUA integrato elimina il rischio di micromovimenti tra impianto e abutment, prevenendo la colonizzazione batterica all’interno della connessione protesica. Ciò riduce notevolmente la possibilità di infezioni perimplantari e garantisce una maggiore longevità dell’impianto.
Inoltre, gli impianti con MUA integrato migliorano la stabilità del manufatto protesico grazie all’uso di una vite di fissaggio più grande e resistente. Questo garantisce una connessione più solida tra impianto e protesi, riducendo il rischio di allentamento della vite nel tempo. Di conseguenza, si ottiene una maggiore predicibilità del trattamento, con una riduzione degli interventi di manutenzione e delle possibili complicanze meccaniche a lungo termine.
Dal punto di vista del paziente, l’implantologia guidata offre un’esperienza meno invasiva. Gli interventi risultano più rapidi, riducendo i tempi di esposizione chirurgica e il disagio post-operatorio. Inoltre, la possibilità di eseguire protocolli di carico immediato consente ai pazienti di ottenere una riabilitazione protesica in tempi più brevi, migliorando la qualità della loro vita.
L’uso di questa tecnologia è vantaggioso anche dal punto di vista economico, poiché ottimizza il numero di sedute necessarie e riduce il rischio di insuccessi implantari, evitando procedure correttive costose.
In conclusione, l’implantologia guidata, arricchita dall’innovazione degli scanner intraorali e facciali e dall’utilizzo di impianti con MUA integrato, rappresenta il futuro della chirurgia implantare.
L’integrazione di queste tecnologie consente una pianificazione sempre più precisa e personalizzata, migliorando non solo la funzionalità della protesi, ma anche l’estetica del sorriso in relazione al volto del paziente. Investire in questi strumenti significa offrire soluzioni affidabili e all’avanguardia, elevando la qualità delle cure odontoiatriche.
Materiali e metodi
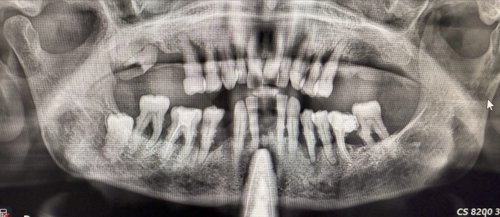
Il paziente si è presentato alla nostra attenzione a causa di un grave inestetismo e discomfort legato a una protesi parziale rimovibile superiore incongrua eseguita in seguito ad estrazioni multiple superiori e inferiori per parodontopatia avanzata mai curata in precedenza.
In anamnesi non sono state segnalate controindicazioni a interventi chirurgici (Figure 1-2).


La volontà del paziente era quella di ottenere una riabilitazione fissa superiore e inferiore per migliorare il comfort e l’estetica.
Il piano di trattamento proposto prevedeva una riabilitazione protesica fissa superiore e inferiore avvitata su quattro impianti mono-componente a carico immediato, con approccio chirurgico flapless e progettazione interamente digitale protesicamente guidata e progettata sul volto del paziente.
In prima fase, sono state scansionate entrambe le arcate con e senza protesi, così da ottenere una registrazione occlusale e una dimensione verticale. Sono state scattate fotografie e realizzati video intra ed extra orali con precisi parametri per visualizzare tutti i dati raccolti in un software di digital smile design. Sono stati eseguiti due video ripresi con iPhone della durata di 12 secondi con e senza forchetta, ed è poi stata elaborata la scansione facciale del paziente utilizzando il principio della fotogrammetria, ovvero la segmentazione di un video in vari frame e riassemblati in maniera tridimensionale.
I file STL sono stati poi sovrapposti ai file DICOM della TC Cone Beam con un software dedicato di progettazione guidata B&B Dental. Tramite questo software di chirurgia guidata è stata stabilita la posizione degli otto impianti, da posizionare con l’ausilio di una dima chirurgiche a supporto mucoso fissata con tre pin ossei (Figure 3-4).


Dopo aver inviato i dati biometrici in laboratorio insieme al file STL della dima chirurgica in cui vengono inseriti i dati degli impianti monofasici, si procede a una prima simulazione in laboratorio dove è possibile valutare le emergenze implantari e la modellazione protesica inserita su l’immagine virtuale del volto del paziente.
Vidimato il progetto da odontoiatra e odontotecnico, si sottopone il risultato da un punto di vista estetico al paziente, utilizzando semplici immagini ottenute dal matching della progettazione implantare guidata, dalla scansione intraorale e dalla modellazione del manufatto protesico realizzata in exocad dal tecnico.
La ceratura viene eseguita partendo dalla R.C. attuale del paziente e alzando la dimensione verticale di circa 1 mm all'interno dell'articolatore virtuale. Il posizionamento delle arcate all'interno dell'articolatore verrà eseguito posizionando la scansione facciale del paziente con le ceste condilari in direzione del trago, la linea bipupillare in asse con la branca superiore dell’articolatore (Figure 5-7).
-

5. Ceratura virtuale con visione facciale -

6. Creatura virtuale di entrambe le arcate -

7. Modelli virtuali in exocad con tragitti implantari
Previa anestesia locale con articaina 1:100.000, è stata fissata la dima guidata con frese di preparazione per i tre pin di fissaggio. Quindi, seguendo in sequenza le frese così come indicato per ogni sito implantare, sono stati inseriti i sei impianti mono-componente con MUA integrato B&B Dental con un torque d’inserzione di 35 N/cm. È stata eseguita una ops di controllo (Figure 8-13).








Al termine dell'inserimento implantare vengono smontati i connettori necessari per inserire lo specifico tipo di impianto e avvitati i marker sul MUA integrato per acquisire l’impronta intraorale, poi inviata con dati stl al tecnico (Figura 14).

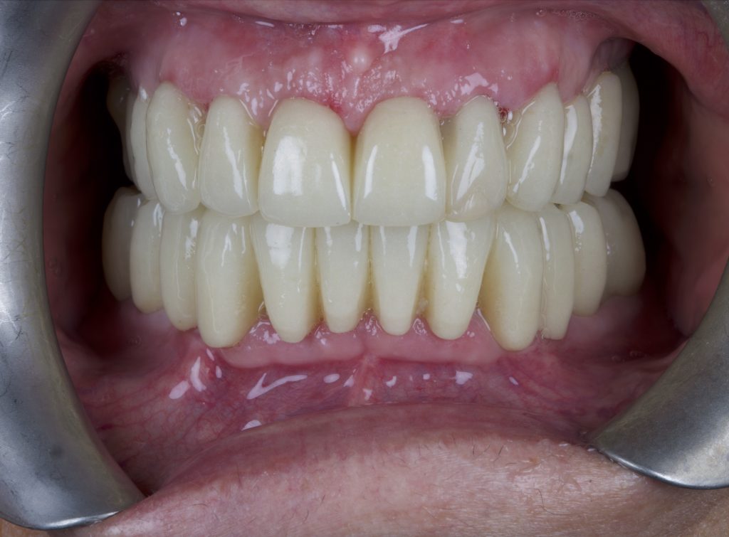
La protesi, realizzata in PMMA multilayer cementata su basi in titanio, è stata avvitata in bocca e regolata in occlusione. I parametri estetici e funzionali, così come erano stati progettati, sono stati riproposti sulla protesi provvisoria immediata.
Le viti protesiche di fissaggio sono state serrate ad un torque di 30N/cm e la paziente è stata controllata a distanza di 1 settimana e poi ogni 3 mesi in attesa di fare un lavoro protesico definitivo (Figure 15-16).





