Autori
Eduardo Anitua DDS, MD, PhD
Private practice in oral implantology, Eduardo Anitua Institute, Vitoria, Spain
Clinical researcher, Eduardo Anitua Foundation, Vitoria, Spain
University Institute for Regenerative Medicine and Oral Implantology – UIRMI (UPV/EHU-Fundación Eduardo Anitua), Vitoria, Spain
Corrispondenza: eduardo@fundacioneduardoanitua.org
Abstract
L’evoluzione del design implantare e dei protocolli di carico ha consentito l’introduzione degli impianti ultra-corti come valida alternativa terapeutica nei pazienti affetti da gravi atrofie ossee verticali. L’associazione di tali impianti con protocolli di carico immediato e con la ferulizzazione protesica potrebbe evitare procedure rigenerative complesse, riducendo la morbilità chirurgica senza compromettere la predicibilità clinica.
Materiali e metodi: è stato condotto uno studio retrospettivo su 30 pazienti trattati tra il 2020 e il 2021, nei quali sono stati inseriti 36 impianti ultra-corti di 4,5 mm sottoposti a carico immediato. Tutti i trattamenti sono stati eseguiti in un’unica clinica seguendo un protocollo chirurgico omogeneo e biologicamente guidato. Sono state registrate variabili demografiche, chirurgiche e protesiche, nonché la sopravvivenza implantare e protesica e la perdita ossea marginale, valutata mediante radiografie calibrate. L’analisi di sopravvivenza è stata effettuata con il metodo di Kaplan-Meier.
Risultati: il follow-up medio è stato di 38,5 ± 3,6 mesi. La sopravvivenza implantare e protesica è risultata del 100 %. Non sono state osservate complicanze chirurgiche e sono state registrate solo quattro complicanze protesiche minori, risolte senza necessità di sostituzione delle protesi. La perdita ossea marginale media al termine del follow-up è stata di 0,73 ± 0,18 mm in mesiale e di 0,85 ± 0,34 mm in distale.
Conclusioni: gli impianti ultra-corti di 4,5 mm ferulizzati e sottoposti a carico immediato hanno mostrato un comportamento clinico favorevole, con elevata sopravvivenza e stabilità dell’osso crestale. Questi risultati supportano il loro impiego come alternativa terapeutica predicibile nei pazienti con atrofia ossea verticale severa, purché vengano rispettati rigorosi criteri biomeccanici e una pianificazione protesica adeguata.
Immediate loading on ultra-short splinted implants in multiple rehabilitations: a retrospective study
The evolution of implant design and loading protocols has allowed the introduction of ultrashort implants as a valid therapeutic alternative for patients with severe vertical bone atrophy. The combination of these implants with immediate loading and prosthetic splinting protocols could avoid complex regenerative procedures, reducing surgical morbidity without compromising clinical predictability.
Materials and methods: a retrospective study was conducted on 30 patients treated between 2020 and 2021, in whom 36 ultra-short 4.5 mm implants were placed and immediately loaded. All treatments were performed in a single clinic following a homogeneous, biologically guided surgical protocol. Demographic, surgical, and prosthetic variables were recorded, as well as implant and prosthetic survival and marginal bone loss, assessed using calibrated radiographs. Survival analysis was performed using the Kaplan-Meier method.
Results: the mean follow-up was 38.5 ± 3.6 months. Implant and prosthetic survival was 100%. No surgical complications were observed, and only four minor prosthetic complications were recorded, which resolved without requiring replacement of the prosthesis. The mean marginal bone loss at the end of follow-up was 0.73 ± 0.18 mm mesially and 0.85 ± 0.34 mm distally.
Conclusions: ultrashort 4.5 mm splinted implants subjected to immediate loading demonstrated favorable clinical behavior, with high survival and crestal bone stability. These results support their use as a predictable treatment option in patients with severe vertical bone atrophy, provided that rigorous biomechanical criteria and adequate prosthetic planning are met.
Gli impianti ultra-corti con carico immediato e ferulizzazione protesica si confermano un’alternativa sicura nei pazienti con atrofia ossea verticale severa, permettendo trattamenti meno invasivi senza compromettere la stabilità implantare e la salute dell’osso crestale.
La lunghezza degli impianti dentali ha subito una notevole evoluzione sin dai primi sviluppi dell’implantologia moderna. Per decenni, la tendenza dominante si è basata sull’impiego di impianti lunghi, con l’obiettivo di massimizzare la superficie di contatto osseo e, di conseguenza, la stabilità meccanica e biologica del sistema (1). Tuttavia, i progressi nel design macrogeometrico, il miglioramento delle superfici bioattive e lo sviluppo di protocolli chirurgici più conservativi hanno consentito una riduzione progressiva delle lunghezze implantari, fino a raggiungere, attualmente, impianti di 4 e 4,5 mm di lunghezza (2-8).
Questa evoluzione ha ampliato in modo sostanziale le possibilità terapeutiche nei pazienti affetti da gravi atrofie ossee, evitando la necessità di procedure ricostruttive complesse e riducendo la morbilità chirurgica associata (9-17). Parallelamente, anche i protocolli di carico protesico hanno subito una profonda trasformazione. Dai tradizionali approcci basati su lunghi periodi di guarigione senza carico si è passati a modelli più dinamici e biologicamente fondati, nei quali il carico immediato si è dimostrato una strategia affidabile, sicura e, in numerosi contesti clinici, preferibile (1,18-22). Le attuali conoscenze sulla biomeccanica implantare, sull’importanza della stabilità primaria e del controllo occlusale, nonché sul concetto di ancoraggio tridimensionale lungo l’intera cresta anziché esclusivamente apicale, hanno permesso di consolidare il carico immediato come opzione terapeutica predicibile, anche in situazioni clinicamente complesse quali le atrofie ossee moderate-severe o l’impiego di impianti di dimensioni ridotte (23-29).
Negli ultimi anni, diversi studi hanno documentato la possibilità di applicare protocolli di carico immediato su impianti corti ed extra-corti, riportando tassi di sopravvivenza comparabili a quelli degli impianti convenzionali, purché siano rispettati criteri di adeguata stabilità primaria e sia garantita una corretta distribuzione progressiva dei carichi occlusali, privilegiando l’utilizzo di protesi provvisorie in grado di generare sollecitazioni incrementali (1-3, 19, 30-35). Alcuni studi suggeriscono, inoltre, che in condizioni ottimali il carico immediato possa favorire un miglior contatto osso-impianto e persino ridurre la perdita ossea marginale, stimolando i processi di rimodellamento osseo (33, 34). Attualmente, il carico immediato è ampiamente adottato sin dalla sua introduzione negli anni Novanta, dimostrando risultati clinici sovrapponibili a quelli dei protocolli tradizionali di carico differito (1, 21, 36, 37). Diversi studi indicano che i tassi di sopravvivenza con carico immediato, pari a circa il 98 %, risultano praticamente indistinguibili da quelli del carico convenzionale, che superano il 99 % in molte casistiche pubblicate (2, 30-32, 35, 37-40).
Nel presente lavoro viene presentata una serie di casi trattati con carico immediato su impianti ultra-corti di 4,5 mm. Tali impianti, ferulizzati ad altri impianti di uguale o maggiore lunghezza, hanno consentito la riabilitazione di aree con atrofie ossee verticali moderate o severe senza ricorrere a procedure preliminari di aumento osseo, tradizionalmente ritenute necessarie. Lo studio analizza retrospettivamente il comportamento clinico di queste riabilitazioni, la perdita ossea crestale e la sopravvivenza implantare, nonché l’incidenza di complicanze chirurgiche e protesiche durante il periodo di carico immediato e il successivo follow-up.
Materiali e metodi
È stata effettuata una revisione retrospettiva di tutti i casi nei quali sono stati inseriti impianti di 4,5 mm di lunghezza sottoposti a protocollo di carico immediato. I trattamenti sono stati eseguiti in un’unica clinica di Vitoria (Spagna) negli anni 2020 e 2021. Nell’ambito dello studio preoperatorio, tutti i pazienti sono stati valutati mediante esame clinico, modelli diagnostici e CBCT (Cone Beam), successivamente analizzati con un software di pianificazione dedicato (BTI-Scan III). Al fine di definire con precisione la futura riabilitazione, è stato eseguito un ceraggio diagnostico dal quale è stata realizzata una guida chirurgica personalizzata.
Il protocollo farmacologico ha previsto una premedicazione con amoxicillina 2 g per via orale un’ora prima dell’intervento, associata a 1 g di paracetamolo. Nel post-operatorio, i pazienti hanno continuato l’assunzione di amoxicillina 500-750 mg ogni 8 ore per cinque giorni, con dosaggio adattato al peso corporeo. Tutti gli impianti sono stati inseriti dallo stesso chirurgo seguendo un protocollo di fresaggio biologicamente guidato, a basse velocità e in assenza di irrigazione esterna, secondo la tecnica precedentemente descritta (41, 42).
Per ciascun caso sono state raccolte variabili demografiche (età, sesso, anamnesi medica), dati implantari specifici (sede, diametro, lunghezza, torque di inserimento), caratteristiche protesiche e parametri derivati dall’analisi ossea preoperatoria. Sono stati inoltre registrati i risultati clinici e radiografici durante il follow-up: sopravvivenza implantare e protesica e perdita ossea marginale. L’estrazione dei dati è stata effettuata da due valutatori indipendenti.
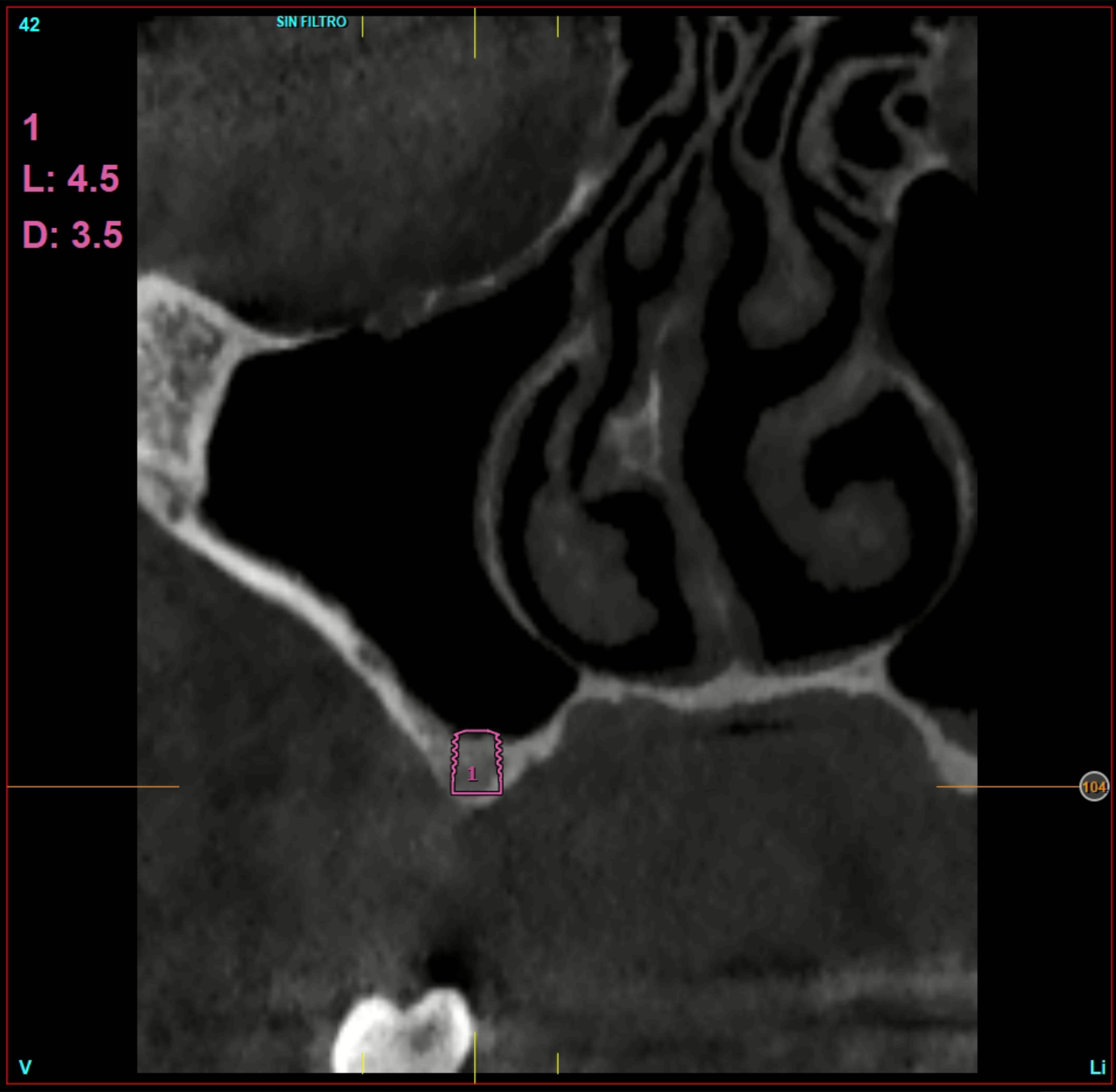
Nell’analisi descrittiva, l’impianto è stato considerato unità statistica per le variabili morfometriche e radiografiche, mentre il paziente è stato utilizzato come unità per le caratteristiche generali e mediche. La perdita ossea marginale è stata determinata mediante radiografie calibrate utilizzando come riferimento la lunghezza reale dell’impianto, attraverso il software Digora for Windows (SOREDEX Digital Imaging Systems), correggendo la magnificazione intrinseca della tecnica. La perdita ossea è stata misurata dalla spalla implantare al primo punto di contatto osso-impianto chiaramente visibile. Come riferimento iniziale per il calcolo delle variazioni ossee è stata utilizzata la radiografia eseguita al momento del posizionamento della protesi.
L’analisi di sopravvivenza è stata eseguita mediante il metodo di Kaplan-Meier e l’analisi statistica con il software SPSS v15.0 (SPSS Inc., Chicago, IL, USA). La sopravvivenza protesica è stata valutata secondo i criteri di Misch et al. e Albrektsson et al. (43), considerando “sopravvivente” la protesi che rimaneva in funzione senza mobilità, senza necessità di sostituzione per complicanze meccaniche o biologiche, garantendo funzione masticatoria, estetica e fonetica adeguate e in assenza di segni clinici di infezione o perdita ossea progressiva. Complicanze minori, quali allentamento delle viti o fratture ceramiche, sono state registrate ma non considerate come fallimento protesico se risolvibili senza sostituzione.
È stato eseguito il test di Shapiro-Wilk per valutare la distribuzione dei dati. Le variabili qualitative sono state descritte mediante analisi delle frequenze e quelle quantitative tramite media e deviazione standard.
Risultati
Sono stati inclusi nello studio 30 pazienti nei quali sono stati inseriti 36 impianti che soddisfacevano i criteri di inclusione precedentemente descritti. Il 70 % dei pazienti era di sesso maschile e l’età media del campione era di 65,53 ± 11,52 anni. Tutti gli impianti presentavano una lunghezza di 4,5 mm, mentre i diametri variavano da 3,3 mm a 5,5 mm; i diametri più frequentemente utilizzati sono stati 3,5 mm e 4,0 mm, entrambi con una percentuale del 19,4 %.
La distribuzione dei diametri implantari è riportata nel Grafico 1.

La distribuzione dei 36 impianti ha mostrato che il 52,8 % è stato inserito nel mascellare, mentre il 47,2 % nella mandibola. Nel mascellare, la sede più frequente è risultata la posizione 26, che rappresentava il 36,8 % degli impianti di questa arcata. Nella mandibola, la posizione più comune è stata la 47, con il 41,2 % degli impianti mandibolari. Tutte le posizioni trattate sono illustrate nel Grafico 2.

L’altezza media della cresta ossea residua era di 5,11 ± 1,06 mm, mentre la densità ossea media nelle sedi implantari era di 566,67 ± 349,48 HU. Il torque medio di inserimento degli impianti è stato di 34,71 ± 18,25 Ncm. L’analisi del torque in funzione della posizione implantare e del tipo di osso ha evidenziato un comportamento biomeccanico coerente con la densità ossea attesa per ciascuna regione anatomica. Gli impianti inseriti in osso di tipo I e II hanno generalmente raggiunto valori di torque più elevati, frequentemente compresi tra 40 e 60 Ncm, soprattutto nelle regioni posteriori (26, 27, 36 e 37). Al contrario, negli impianti inseriti in osso di tipo III e IV, i valori di torque tendevano a essere inferiori e più dispersi, oscillando prevalentemente tra 20 e 40 Ncm. Nonostante ciò, anche nei siti con qualità ossea inferiore, i valori ottenuti rientravano in intervalli clinicamente accettabili per consentire la stabilità primaria necessaria ai protocolli di carico immediato adottati nello studio. Nel Grafico 3 è riportata la distribuzione del torque in base alla sede anatomica e al tipo di osso.
Torque medio di inserimento in funzione del tipo di osso e della posizione anatomica di ciascun impianto


Tutti gli impianti sono stati caricati entro 24 ore dall’inserimento mediante protesi provvisorie in resina a carico immediato, realizzate con strutture a barra articolata. L’analisi dei diversi tipi di protesi ferulizzate ha evidenziato una predominanza delle riabilitazioni parziali. Il gruppo più numeroso era costituito dalle protesi supportate da due impianti e due elementi dentari, pari al 33,3% dei casi, seguito dalle protesi complete, presenti nel 19,4% dei pazienti. Altri disegni protesici sono stati utilizzati con frequenze comprese tra l’8,3% e il 16,7%, riflettendo l’adattamento del piano terapeutico alle specifiche condizioni anatomiche di ciascun paziente, mantenendo in tutti i casi la ferulizzazione rigida degli impianti come principio biomeccanico fondamentale (Figura 1).

In 19 impianti sono state eseguite procedure complementari contestualmente all’inserimento implantare: in due casi rigenerazione verticale con osso autologo da fresaggio associato a PRGF-Endoret; in 11 casi rialzo del seno mascellare transalveolare con osso autologo e PRGF-Endoret; in sei casi sovracorrezione vestibolare mediante osso autologo e PRGF-Endoret, associando uno strato di biomateriale (idrossiapatite bovina) per ridurre il riassorbimento volumetrico. Quattro impianti da 4,5 mm sono stati ferulizzati ad altri impianti della stessa lunghezza, per un totale di otto impianti ultra-corti ferulizzati tra loro, configurando ponti supportati da tre impianti. La protesizzazione definitiva è stata eseguita tra tre e nove mesi dopo il carico immediato. Le protesi definitive erano in metallo-ceramica nell’80,6% dei casi e in resina con struttura metallica nei restanti.
Durante il periodo di osservazione non è stato registrato alcun fallimento implantare, con una sopravvivenza del 100%. Non sono state riportate complicanze chirurgiche e sono state osservate solo quattro complicanze protesiche, tutte rappresentate da allentamento delle viti nella fase di protesi definitiva; pertanto, anche la sopravvivenza protesica è risultata del 100%. Il follow-up medio è stato di 38,5 ± 3,60 mesi, con un intervallo compreso tra 12 e 60,5 mesi.
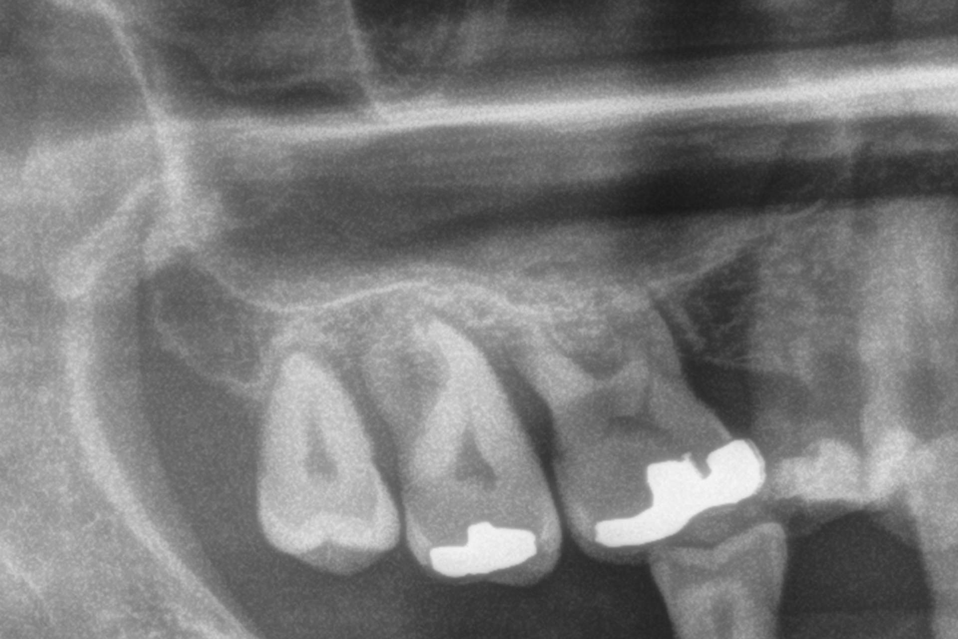
Al termine del follow-up, la perdita ossea crestale media è stata di 0,73 ± 0,18 mm in mesiale e di 0,85 ± 0,34 mm in distale. Alcuni casi clinici rappresentativi sono illustrati nelle Figure 2-10.










Discussione
Lo sviluppo di impianti di lunghezza ridotta ha determinato un cambiamento significativo nell’approccio terapeutico alle atrofie ossee severe del mascellare e della mandibola. L’introduzione progressiva di impianti corti ed extra-corti ha consentito di ridurre l’indicazione a procedure rigenerative complesse, offrendo alternative meno invasive, associate a minore morbilità postoperatoria, minore costo biologico ed economico e riduzione del numero di interventi chirurgici necessari (2, 8, 11, 12, 44, 45).
Numerosi studi hanno dimostrato che gli impianti corti (≤ 8 mm) presentano tassi di sopravvivenza elevati e comparabili a quelli degli impianti di lunghezza convenzionale, anche quando inseriti in creste con limitata altezza ossea. Revisioni sistematiche e metanalisi hanno evidenziato che, rispetto agli impianti lunghi inseriti dopo procedure rigenerative, gli impianti corti mostrano risultati clinici sovrapponibili in termini di sopravvivenza e perdita ossea crestale, con una tendenza a minori complicanze biologiche, in particolare quelle associate alla rigenerazione ossea e alla gestione dei tessuti molli (12, 46-48).
In questo contesto, il carico immediato su impianti corti è stato ampiamente studiato. Diversi studi clinici e prospettici hanno dimostrato che, in presenza di adeguate condizioni biomeccaniche e di una corretta stabilità primaria, il carico immediato non compromette la sopravvivenza implantare né il mantenimento dell’osso peri-implantare. Studi di Alvira-González et al.49, Maló et al.50 e Cannizzaro et al.51 riportano tassi di sopravvivenza cumulativa compresi tra l’87% e il 96,6%, valori comparabili a quelli degli impianti di lunghezza convenzionale sottoposti allo stesso protocollo di carico. L’evoluzione del design implantare ha portato all’introduzione di impianti ultra-corti di 4 mm (52-54). La metanalisi di Zhang et al.55, che ha incluso undici studi clinici comparativi, non ha evidenziato differenze statisticamente significative nei tassi di sopravvivenza tra impianti di 4 mm e impianti più lunghi (RR = 1,23; p = 0,52). È stata invece osservata una minore perdita ossea marginale e una riduzione delle complicanze biologiche, a fronte di una maggiore incidenza di complicanze meccaniche protesiche, senza impatto negativo sulla sopravvivenza implantare. Risultati analoghi sono stati riportati da Moraschini et al., che hanno evidenziato tassi di sopravvivenza simili tra impianti ultra-corti e impianti lunghi (> 8 mm), con un comportamento favorevole dell’osso crestale. Gli autori sottolineano come le complicanze meccaniche, sebbene più frequenti negli impianti ultra-corti, risultino generalmente gestibili dal punto di vista clinico, evidenziando l’importanza di una corretta pianificazione protesica e della ferulizzazione implantare. Nel presente studio, 36 impianti da 4,5 mm sono stati inseriti in 30 pazienti seguendo un protocollo omogeneo di fresaggio, inserimento e carico immediato, con un follow-up fino a cinque anni. I risultati mostrano una sopravvivenza del 100% e perdite ossee marginali medie di 0,73 ± 0,18 mm in mesiale e 0,85 ± 0,34 mm in distale, valori in linea con quelli riportati in letteratura per impianti corti e convenzionali inseriti in osso rigenerato. Tali dati confermano che gli impianti ultra-corti possono rappresentare un’opzione sicura e predicibile nei casi di atrofia ossea verticale severa, senza incremento del rischio di fallimento quando vengono ferulizzati e quando la distribuzione dei carichi è attentamente controllata.
Conclusioni
Alla luce dei risultati ottenuti e delle evidenze scientifiche disponibili, gli impianti di lunghezza ridotta, e in particolare gli impianti ultra-corti ferulizzati, rappresentano una valida opzione terapeutica nel trattamento delle atrofie ossee verticali severe.
La combinazione di un adeguato design implantare, di una pianificazione protesica accurata e del controllo dei fattori biomeccanici consente di ottenere risultati clinici stabili e predicibili anche in presenza di protocolli di carico immediato. L’impiego di impianti ultra-corti può quindi contribuire a semplificare il trattamento, ridurre la morbilità associata alle procedure rigenerative e ampliare le possibilità riabilitative nei pazienti con limitata disponibilità ossea, purché l’indicazione sia individualizzata e vengano rispettati rigorosi criteri clinici.
- Gapski R, Wang HL, Mascarenhas P, Lang NP. Critical review of immediate implant loading. Clin Oral Implants Res. 2003;14: 515-527. doi:10.1034/j.1600-0501.2003.00950.x.
- Weerapong K, Sirimongkolwattana S, Sastraruji T, Khongkhunthian P. Comparative Study of Immediate Loading on Short Dental Implants and Conventional Dental Implants in the Posterior Mandible: A Randomized Clinical Trial. Int J Oral Maxillofac Implants. 2019;34:141-149. doi:10.11607/jomi.6732.
- Anitua E. Immediate Loading of Short Implants in Posterior Maxillae: Case Series. Acta Stomatol Croat. 2017;51: 157-162. doi:10.15644/asc51/2/10.
- Graziani F. Short implants: a systematic review. J Clin Periodontol. 2018;45: 20-30. Nedir R, Bischof M. Ultra-short implants results. Clin Oral Implants Res. 2017;28: 109-117.
- Nisand D, Renouard F. Short implant in limited bone volume. Periodontol 2000. 2014;66: 72-96. doi:10.1111/prd.12053.
- Testori T, Weinstein RL, Wallace SS. Short implants in the posterior maxilla. Clin Oral Implants Res. 2014;25: 497-504.
- Buser D, etc. 12-year outcomes of short implants. J Dent Res. 2012;91: 28-35.
- Anitua E. Extra-short implants ≤6.5 mm: long-term results. Clin Implant Dent Relat Res. 2014;16: 250-259.
- Lizio G, Pellegrino G, Felice P. Posterior jaws rehabilitation with < 7mm-short implants. A review. J Stomatol Oral Maxillofac Surg. 2022;123: e45-e56. doi:10.1016/j.jormas.2021.09.010.
- Hirani M, Arnantha H, Al-Mossallami A, Paolinelis G. Clinical outcomes of short dental implants supporting prostheses in the posterior region. British Dental Journal 2024. 2024; 1-6. doi:10.1038/s41415-024-7610-6.
- Torres-Alemany A, Fernández-Estevan L, Agustín-Panadero R, Montiel-Company JM, Labaig-Rueda C, Mañes-Ferrer JF. Clinical Behavior of Short Dental Implants: Systematic Review and Meta-Analysis. Journal of Clinical Medicine 2020, Vol 9, Page 3271. 2020;9: 3271. doi:10.3390/JCM9103271.
- Ramos AHN, Cornacchia GM, Nunes E, Cosso MG, de Souza LN, Zenóbio EG. Extra short 4mm implants used to rehabilitation of atrophic posterior mandible. A serial case reports. J Clin Exp Dent. 2020;12: e519-e522. doi:10.4317/JCED.56654.
- Pistilli R, Barausse C, Checchi L, Felice P. Rehabilitation of the Atrophic Posterior Mandible with Short (4-mm) Implants: A Case Report. Int J Periodontics Restorative Dent. 2014;34: 713-718. doi:10.11607/prd.1733.
- Antiua E, Escuer V, Alkhraisat MH. Short Narrow Dental Implants versus Long Narrow Dental Implants in Fixed Prostheses: A Prospective Clinical Study. Dent J (Basel). 2022;10: 39. doi:10.3390/DJ10030039.
- Cruz RS, de Araújo Lemos CA, de Souza Batista VE, e Oliveira HFF, de Luna Gomes JM, Pellizzer EP, et al. Short implants versus longer implants with maxillary sinus lift. A systematic review and meta-analysis. Braz Oral Res. 2018;32: 1-14. doi:10.1590/1807-3107BOR-2018.VOL32.0086.
- Anitua E, Piñas L, Alkhraisat MH. Long-Term Comparative Outcomes of Short Implants Versus Maxillary Sinus Elevation in Posterior Maxilla Rehabilitation. Dent J (Basel). 2024;13. doi:10.3390/dj13010012.
- Szmukler-Moncler S, Salama H, Reingewirtz Y, Dubruille JH. Timing of loading and micromotion tolerance. J Biomed Mater Res. 1998;43: 192-203.
- Wu H, Shi Q, Huang Y, Chang P, Huo N, Jiang Y, et al. Failure Risk of Short Dental Implants Under Immediate Loading: A Meta-Analysis. Journal of Prosthodontics. 2021;30: 569-580. doi:10.1111/jopr.13376.
- Brunski JB. In vivo bone response to biomechanical loading. Adv Dent Res. 1999;13: 99-119. Sanz-Sánchez I, Sanz-Martín I, Figuero E, Sanz M. Clinical efficacy of immediate implant loading protocols compared to conventional loading depending on the type of the restoration: A systematic review. Clin Oral Implants Res. 2015;26: 964-982. doi:10.1111/clr.12428.
- Szmukler-Moncler S, Salama H, Reingewirtz Y, Dubruille JH. Timing of loading and micromotion tolerance of osseointegrated implants. J Biomed Mater Res. 1998;43: 192-203. Skalak R. Biomechanical considerations in osseointegrated prostheses. J Prosthet Dent. 1983;49: 843-848. doi:10.1016/0022-3913(83)90361-X.
- Anitua E, Larrazabal Saez de Ibarra N, Morales Martín I, Saracho Rotaeche L. Influence of dental implant diameter and bone quality on the biomechanics of single-crown restoration. A finite element analysis. Dent J (Basel). 2021;9. doi:10.3390/DJ9090103.
- Brunski JB. In vivo bone response to biomechanical loading. Adv Dent Res. 1999;13: 99-119.
- Brunski JB. In vivo bone response to biomechanical loading at the bone/implant interface. Adv Dent Res. 1999;13: 99-119.
- Liu G, Deng S, Chen X, Lin J, Liu R. Biomechanical analysis of maxillary posterior three unit bridge supported misial straight implant and distal tilted implant. Front Bioeng Biotechnol. 2025;13. doi:10.3389/FBIOE.2025.1546656.
- Anitua E, Larrazabal Saez de Ibarra N, Saracho Rotaeche L. Implant-Supported Prostheses in the Edentulous Mandible: Biomechanical Analysis of Different Implant Configurations via Finite Element Analysis. Dent J (Basel). 2022;11. doi:10.3390/DJ11010004.
- Comuzzi L, Tumedei M, De Angelis F, Lorusso F, Piattelli A, Iezzi G. Influence of the dental implant macrogeometry and threads design on primary stability: an in vitro simulation on artificial bone blocks. Comput Methods Biomech Biomed Engin. 2021;24: 1242-1250. doi:10.1080/10255842.2021.1875219.
- Kulkarni V, Uttamani J, Asar N, Nares S, Tözüm T. Evidence-Based Clinical Outcomes of Immediate and Early Loading of Short Endosseous Dental Implants: A Meta-analysis. Int J Oral Maxillofac Implants. 2021;36: 59-67. doi:10.11607/jomi.8541.
- Susarla SM, Chuang SK, Dodson TB. Delayed Versus Immediate Loading of Implants: Survival Analysis and Risk Factors for Dental Implant Failure. Journal of Oral and Maxillofacial Surgery. 2008;66: 251-255. doi:10.1016/j.joms.2007.09.012.
- Jiang X, Zhou W, Wu Y, Wang F. Clinical Outcomes of Immediate Implant Loading with Fixed Prostheses in Edentulous Maxillae: A Systematic Review. Int J Oral Maxillofac Implants. 2021;36: 503-519. doi:10.11607/jomi.8509.
- Misch CE. Progressive loading of bone with implant prostheses. J Dent Symp. 1993;1: 50-53.
- Podaropoulos L, Veis AA, Trisi P, Papadimitriou S, Alexandridis C, Kalyvas D. Bone reactions around dental implants subjected to progressive static load: an experimental study in dogs. Clin Oral Implants Res. 2016;27: 910-917. doi:10.1111/clr.12658.
- Anitua E, Piñas L, Alkhraisat MH. Implant-supported prosthesis under progressive loading protocol stimulates alveolar bone growth in patients with severe alveolar bone atrophy. Retrospective case series. Frontiers in dental medicine. 2024;5: 1465137. doi:10.3389/fdmed.2024.1465137.
- Nkenke E, Fenner M. Indications for immediate loading of implants and implant success. Clin Oral Implants Res. 2006;17: 19-34. doi:10.1111/j.1600-0501.2006.01348.x.
- Anitua E, Flores J, Flores C, Alkhraisat M. Long-term Outcomes of Immediate Loading of Short Implants: A Controlled Retrospective Cohort Study. Int J Oral Maxillofac Implants. 2016;31: 1360-1366. doi:10.11607/JOMI.5330.
- Anitua E, Flores C, Flores J, Alkhraisat MH. Clinical Effectiveness of 6.5-mm-Long Implants to Support Two-Implant Fixed Prostheses in Premolar-Molar Region: The Influence of Immediate Loading and the Length of Splinting Implant. Journal of Prosthodontics. 2019;28: e688-e693. doi:10.1111/JOPR.12761.
- Anitua E, Fernandez-de-Retana S, Anitua B, Alkhraisat M. Long-Term Retrospective Study of 3.0-mm-Diameter Implants Supporting Fixed Multiple Prostheses: Immediate Versus Delayed Implant Loading. Int J Oral Maxillofac Implants. 2020;35: 1229-1238. doi:10.11607/jomi.8180.
- Kutkut A, Rezk M, Zephyr D, Dawson D, Frazer R, Al-Sabbagh M. Immediate loading of unsplinted implant retained mandibular overdenture: A randomized controlled clinical study. Journal of Oral Implantology. 2019;45: 378-389. doi:10.1563/aaid-joi-D-18-00202.
- Anitua E, Carda C, Andia I. A novel drilling procedure and subsequent bone autograft preparation: a technical note. Int J Oral Maxillofac Implants. 22: 138-45. Available: http://www.ncbi.nlm.nih.gov/pubmed/17340908.
- Anitua E, Flores C, Fernández-de-Retana S, Anitua B, Alkhraisat MH. Performance of Immediately Loaded Short Implants Using Low-Speed Drilling Protocol and Plasma Rich in Growth Factors: A Controlled Retrospective Observational Study. International Journal of Periodontics and Restorative Dentistry. 2023;43: 232-239b. doi:10.11607/prd.5203.
- Albrektsson T, Zarb G, Worthington P, Eriksson AR. The long-term efficacy of currently used dental implants: a review and proposed criteria of success. Int J Oral Maxillofac Implants. 1986;1: 11-25. Available: http://www.ncbi.nlm.nih.gov/pubmed/3527955.
- Anitua E, Alkhraisat MH. Single-unit short dental implants. Would they survive a long period of service? British Journal of Oral and Maxillofacial Surgery. 2019;57: 387-388. doi:10.1016/J.BJOMS.2019.03.005.
- Anitua E, Alkhraisat MH. 15-year follow-up of short dental implants placed in the partially edentulous patient: Mandible Vs maxilla. Annals of Anatomy. 2019;222: 88-93. doi:10.1016/J.AANAT.2018.11.003.
- Ravidà A, Wang IC, Sammartino G, Barootchi S, Tattan M, Troiano G, et al. Prosthetic Rehabilitation of the Posterior Atrophic Maxilla, Short (≤6 mm) or Long (≥10 mm) Dental Implants? A Systematic Review, Meta-analysis, and Trial Sequential Analysis: Naples Consensus Report Working Group A. Implant Dent. 2019;28: 590-602. doi:10.1097/ID.0000000000000919.
- Altaib FH, Alqutaibi AY, Al-Fahd A, Eid S. Short dental implant as alternative to long implant with bone augmentation of the atrophic posterior ridge: A systematic review and meta-analysis of RCTs. Quintessence Int (Berl). 2019. doi:10.3290/J.QI.A42948.
- Al-Johany S. Survival Rates of Short Dental Implants (≤ 6.5 mm) Placed in Posterior Edentulous Ridges and Factors Affecting Their Survival After a 12-Month Follow-up Period: Systematic Review. Int J Oral Maxillofac Implants. 2019;34: 605-621. doi:10.11607/jomi.7187.
- Alvira-González J, Díaz-Campos E, Sánchez-Garcés MA, Gay-Escoda C. Survival of immediately versus delayed loaded short implants: A prospective case series study. Med Oral Patol Oral Cir Bucal. 2015;20: e480-e488. doi:10.4317/MEDORAL.20407.
- Maló P, de Araújo Nobre MA, Lopes AV., Rodrigues R. Immediate loading short implants inserted on low bone quantity for the rehabilitation of the edentulous maxilla using an All-on-4 design. J Oral Rehabil. 2015;42: 615-623. doi:10.1111/JOOR.12291.
- Cannizzaro G, Felice P, Leone M, Ferri V, Viola P, Esposito M. Immediate versus early loading of 6.5 mm-long flapless-placed single implants: A 4-year after loading report of a split-mouth randomised controlled trial. Eur J Oral Implantol. 2012;5: 111-121.
- Tang Z, Li Y. Survival of 4 mm implants in atrophic maxillae. Clin Implant Dent Relat Res. 2018;20: 892-901.
- Anitua E, Eguia A, Alkhraisat M. Clinical performance of splinted 4.5-mm extra-short implants. A controlled retrospective cohort study. Int J Periodontics Restorative Dent. 2023. doi:10.11607/prd.6877.
- Anitua E. Two-Step Progressive Transcrestal Sinus Augmentation Using a 4.5 mm Unloaded Implant as a “Temporary Implant” in Highly Atrophic Ridge: Case Report. Eur J Dent. 2023;17: 560-566. doi:10.1055/s-0042-1755557.
- Zhang Q, Gong J, Yu J, Zhao R, Gou P, Yu Z. Clinical efficacy of extra-short implant (4 mm) placed in posterior areas: a Meta-analysis. Hua Xi Kou Qiang Yi Xue Za Zhi. 2023;41: 80-87. doi:10.7518/HXKQ.2023.01.011.
- Barausse C, Ravidà A, Bonifazi L, Pistilli R, Saleh MHA, Gasparro R, et al. Extra-short (4-mm) implants placed after regenerative failures in the posterior atrophic mandible: A retrospective study. Int J Oral Implantol (Berl). 2023;16: 31-38. Available: http://www.ncbi.nlm.nih.gov/pubmed/36861679.



