All-on-4: riabilitazione immediata dei mascellari completamente edentuli
In un mercato ampio e variegato come quello dell'implantologia, la crescente offerta ha reso il paziente sempre più esigente, anche per quanto riguarda il...
Esostosi e tori maxillo-mandibolari: revisione della letteratura e considerazioni cliniche
Riassunto
L’obiettivo che si pone questo articolo è duplice: a) di revisionare criticamente la letteratura al fine di esaminare gli aspetti epidemiologici, eziologici e clinici...
Rigenerazione ossea orizzontale e gestione dei tessuti molli in una zona estetica
La chirurgia implantare è diventata un trattamento comune nella pratica quotidiana degli studi odontoiatrici in relazione al fatto che la sostituzione di denti compromessi...
Enfisema dopo un’estrazione dentale: cosa fare?
L’enfisema cervicale e pneumomediastinico sono complicanze raramente
osservate di interventi dentali e generalmente associate all’uso di trapani come
le turbine. Nei lavori che riportiamo vengono descritti...
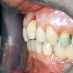
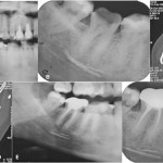
Diagnosi e terapia: parestesia del nervo alveolare inferiore
Diagnosi differenziale con cone beam computer tomography della parestesia del nervo alveolare inferiore in seguito a trattamento endodontico: case report
Differential diagnosis of endodontic-related inferior alveolar...
Endodonzia chirurgica retrograda: laser o ultrasuoni?
La chirurgia endodontica nel corso degli ultimi decenni ha fatto notevoli passi avanti nelle sue tecniche e nei materiali di cui si avvale. Con...
Estrazione di denti del giudizio: cosa fare?
I lavori riportati illustrano le strategie da attuare in caso di estrazioni di terzi molari: un’evenienza non rara negli studi odontoiatrici, soprattutto in giovani...
Cosa fare per ridurre le complicanze post-operatorie in seguito all’estrazione di denti del giudizio
I lavori riportati illustrano le strategie da attuare in caso di estrazioni di terzi molari: un’evenienza non rara negli studi odontoiatrici, soprattutto in giovani pazienti.
La terapia implantare nell’atrofia del mascellare posteriore
Questa revisione della letteratura affronta il tema, molto attuale, della predicibilità degli interventi di rialzo del seno mascellare con posizionamento di impianti osteointegrati, valutando il ruolo svolto dal tipo di materiale da innesto, di superficie implantare, della tecnica chirurgica e dell’utilizzo di membrane protettive.
Chirurgia
Questo aggiornamento indaga le metodiche e i materiali nel caso del trattamento chirurgico endodontico.
Chirurgia apicale con utilizzo di idrossido di calcio: case report ...
Gli innesti ossei nelle procedure di rialzo del seno mascellare
Questo aggiornamento si riferisce allo stato dell’arte sulla stabilità clinica, istologica e radiografica di alcuni frequenti tipi di innesto osseo nel rialzo del seno...










